광화문치과 치아가 깨졌어요
안녕하세요.
치아를 지키는 보존과전문의
광화문치과 반석원장입니다.
요근래 저희 병원에
치아가 깨져서 내원해 주신 환자분들이
많았는데요.
다들 많이 놀라셨더라구요.
거기에 치과공포증까지 있는
환자분이 계셔서
한참 이야기를 나누었습니다.
그래서 오늘 포스팅의 주제는!!
누구에가 갑자기 일어날 수 있는
치아가 깨졌어요!!!!!
입니다.

일상생활 중 단단한 음식을 잘못 씹거나,
예기치 못한 사고로 치아에 충격이 가해져
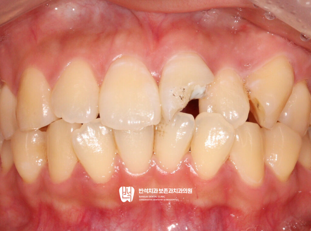
치아가 깨지는(치아 파절) 경우가 생각보다 많습니다.
‘딱’ 하는 소리와 함께
치아가 깨져나간 것을 발견하면
당혹스럽고 걱정이 앞서는 것이 당연합니다.
오늘 이 글에서는 치아가 깨졌을 때
왜 방치하면 안 되는지,
그리고 깨진 정도에 따라
어떤 치료가 진행되는지
자세히 설명해 드리겠습니다.
광화문치과, 깨진치아 방치하면 2배 손해?

갑자기 치아가 깨져 놀란 마음에 거울을 보며
혹시 통증이 없다고 해서,
또는 당장 보기 흉하지 않다고 해서
치과 방문을 미루는 분들이 계십니다.
하지만 깨진 치아를 방치하는 것은
문제를 더 크게 키우는 지름길이 될 수 있습니다.
왜 그럴까요?
1. 2차 충치(이차 우식) 발생
치아의 가장 바깥층인 법랑질이 깨지면,
그 안의 상아질이 노출됩니다.
상아질은 법랑질보다 무르고 약해서
충치균에 매우 취약합니다.
깨진 틈으로 세균이 침투하면
순식간에 2차 충치가 발생할 수 있습니다.
2. 신경 손상 및 통증
깨진 틈이 깊어 신경(치수)까지 세균이 도달하면,
참기 힘든 통증이 시작되고
신경치료(근관치료)가 필요하게 됩니다.
처음에는 간단한 레진 치료로 막을 수 있었던 것이,
방치로 인해 신경치료와 크라운 치료까지 받아야 하는
복잡한 상황이 되는 것이죠.
3. 치아의 추가 파절
이미 한번 깨져 구조적으로 약해진 치아는
작은 충격에도 추가적으로 더 크게 깨질 수 있습니다.
특히 뿌리까지 금이 가는
‘수직 치근 파절’로 진행되면,
그때는 정말 자연치를 살리지 못하고
발치를 해야 할 수도 있습니다.
저는 보존과전문의이다 보니
어떻게 하면 치아를 덜 삭제할까?
어떻게 해야 치아를 좀 더 보존할까?를
항상 고민합니다.
그런데 신경까지 감염이 되어 오시면
사실 제가 도와드릴 수 있었던 많은 부분이
불가능하게 됩니다.
즉, ‘골든타임’을 놓쳐버리는 거죠
깨진 범위에 따른 치료 방법 (레진, 인레이, 크라운)
광화문치과에 내원하시면,
반석원장장은 환자분의 깨진 치아 범위를
면밀히 진단합니다.
아래의 2가지 원칙을 반드시 지켜서요.
1. ‘꼭 필요한 치료’만을 시행하며,
2. 가능한 자연치를 보존하는 방향으로 치료 계획을 세운다.
깨진 치아의 범위는 크게 세 가지로 나눌 수 있으며,
치료 방법은 다음과 같습니다.
-
1단계: 치아 바깥층(법랑질)만 살짝 깨진 경우 – “레진 치료”
가장 경미한 경우입니다.
주로 앞니 끝이 살짝 깨지거나
어금니의 얕은 부분이 떨어진 경우에 해당합니다.
통증이나 시린 증상이 거의 없는것이 특징입니다.
< 치료방법 >
깨진 부위를 살짝 다듬고,
치아 색과 유사한 강화 플라스틱 소재인
‘레진’으로 틈을 메우고 모양을 복원합니다.
비교적 간단하고 빠르게 치료가 마무리됩니다.
저는 치료결과를 좌우하는 데 있어
어떤 재료를 사용하는지도
매우 중요하다고 생각합니다.
우리가 사용하는 핸드폰도 다 같지 않듯이
레진도 종류가 굉장히 다양합니다.
그래서 광화문치과에서는 레진도
퀄리티가 보장되는 비싼재료를 사용합니다.
-
2단계: 치아 속살(상아질)까지 깨진 경우 – “인레이/온레이”
법랑질 안쪽의 상아질까지 노출된 경우입니다.
이때부터는 차가운 물이나 바람에
시린 증상이 나타날 수 있습니다.
< 치료방법 >
깨진 범위가 넓어 레진으로 때우기에는
강도가 부족하다고 판단되면,
‘인레이’ 또는 ‘온레이’ 치료를 진행합니다.
깨진부위를 다듬고 본을 떠서
보철물(세라믹, 골드 등)을 제작하여
정교하게 붙이는 방식입니다.
-
3단계: 치아 신경(치수)까지 노출된 경우 – “신경치료 및 크라운”
치아 파절이 가장 심각한 단계입니다.
깨진 단면으로 붉은 신경 조직이 비치거나,
통증이 동반됩니다.
가만히 있어도 욱신거리는 통증,
음식물이 닿을 때 통증이 발생한다면
이 단계를 의심해봐야 합니다.
< 치료방법 >
이때는 감염된 신경 조직을 제거하는
‘신경치료(근관치료)’가 반드시 선행되어야 합니다.
신경치료는 치아를 뽑지 않고 살릴 수 있는
마지막 보존 치료입니다.
신경치료를 마친 치아는 영양 공급이 끊겨 약해지므로,
치아 전체를 감싸 보호하는 ‘크라운’ 치료로 마무리하여
치아의 파절을 막고 기능을 회복시킵니다.
저희 광화문치과는 치과보존과 전문의가
미세현미경을 이용하여 이러한 복잡한 깨진 치아 치료,
특히 재신경치료나 고난도 신경치료를 통해
발치 판정을 받은 치아도 살리기 위해 노력합니다.

결국 자연치아 보존, 빠를수록 좋습니다.

집이나 외부에서 음식을 먹다가
갑자기 치아가 깨지는 상황은
누구에게나 당황스러운 일입니다.
하지만 중요한 것은 통증이 없다고
방치해서는 안 된다는 사실입니다.
깨진 치아 치료의 핵심은 ‘속도’와 ‘보존’입니다.
작은 틈일 때 내원하시면
간단한 레진 치료로 마무리될 수 있지만,
방치하여 세균이 신경까지 침투하면
더 많은 시간과 비용이 드는
신경치료와 크라운 치료가 필요하게 됩니다.
내 치아를 보존해 줄 치과를 찾고 계신다면,
광화문치과의 반석원장을 찾아주세요.
꼭 필요한 치료, 근거 있는 치료만을 약속드리며
환자분의 소중한 자연치를 지켜드리기 위해
최선을 다하고 있습니다.
치아 파절로 고민 중이시라면,
더 이상 미루지 마시고 내원하시어
정확한 진단과 상담을 받아보시길 권해드립니다.
긴 글 읽어주셔서 감사합니다.

*모든 증례 사진은 의료법 제23조, 제 56조에 의거하여 환자분의 동의 하에 업로드가 진행되었습니다.
*치료 사진은 모두 본원에서 치료한 환자분의 사진입니다.
*치료 사진은 모두 동일인의 사진이며, 동일조건에서 촬영하였습니다.
*개인의 차이에 따라 시술 및 수술 후 부작용이 발생할 수 있으며, 의료진과 충분한 상담을 받으시기 바랍니다.