광화문치과 재근관치료로 자연치아살리기
안녕하세요.
자연치아살리기에 진심인
광화문치과 반석치과의 김반석 원장입니다.
치아 통증의 주요 원인은 충치나 외상에 의해
내부 신경에 염증이 생기는 것인데요.
이러한 경우에는 신경치료를 통해
손상된 치아를 보존할 수 있는데
신경치료는 감염된 신경조직을 제거하고
내부를 소독한 뒤, 세균이 다시 침투하지 않도록
근관을 밀폐하는 방식으로 진행됩니다.
그러나 치료 이후에도 통증이 지속되거나
잇몸 부위에 염증이 재발하는 경우가 있으며
이때는 재근관치료를 고려할 수 있는데
이는 기존의 신경치료가 실패했거나
충전재가 완전히 밀폐되지 않아 세균이 남아 있는
경우 시행됩니다.
오늘은 재근관치료를 통해
자연치아살리기를 성공하신 환자분의
사례를 소개해 드리도록 하겠습니다.

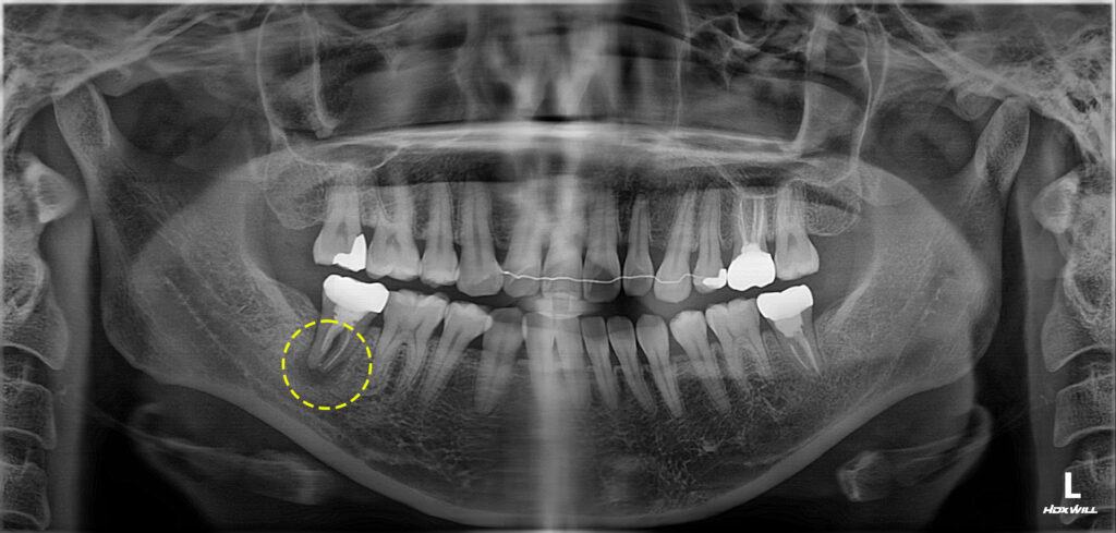
환자분께서는 오른쪽 아래 어금니 부위
신경치료를 받은지 2년 정도 지났는데
염증이 생겨 치료가 가능한지 체크를
원하신다며 저희 광화문치과에
내원해 주셨습니다.
작년 1월에 신경치료를 받으셨으며
3주 전부터 염증이 생겨 타 치과에서
약 처방을 받아 복용했다고 하셨는데요.
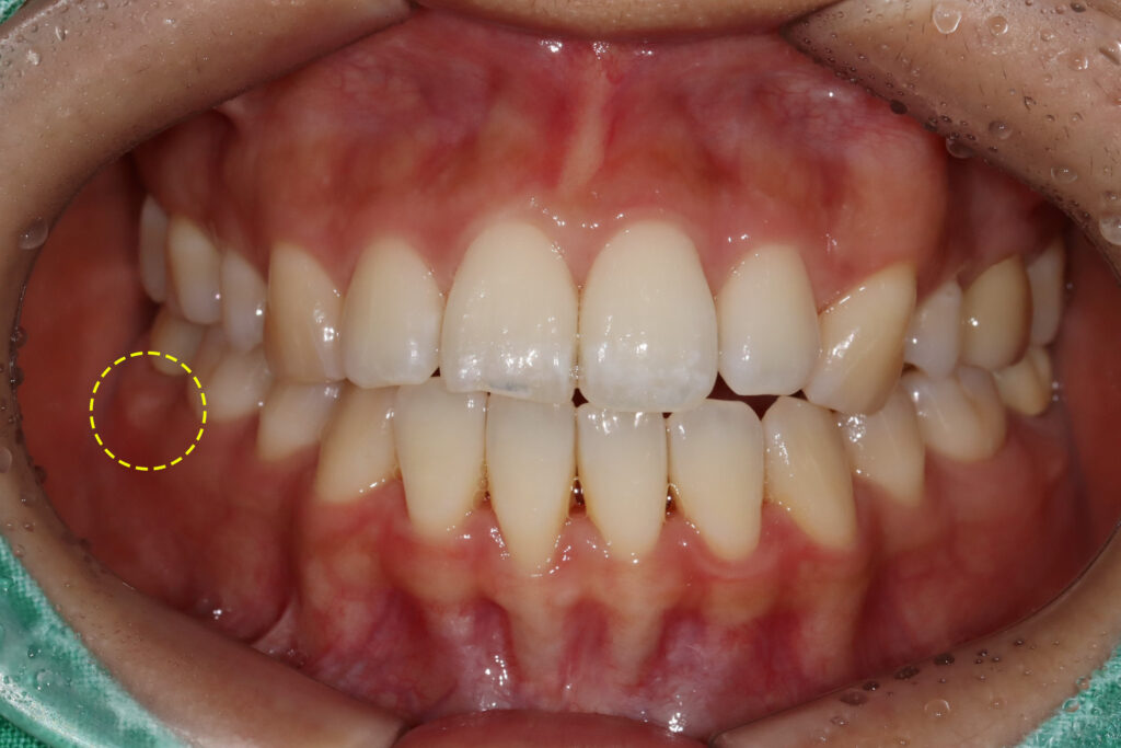
볼쪽으로 잇몸이 많이 부어 올라 있었고
치아의 흔들림도 있어 우선 재근관치료를
시도해본 뒤 필요 시 치아 재식술을 추가해서
진행하기로 하였습니다.

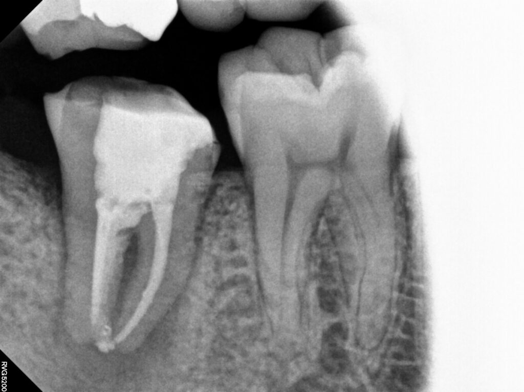
재근관치료의 과정입니다.
재근관치료는 기존 충전재를 제거하고
근관 내부를 다시 소독한 뒤, 새로운 충전재로
밀봉하는 과정을 거쳐 치료의 성공률은 초기에
비해 낮을 수 있지만 현미경, 초음파 기구 등
정밀 장비를 활용하면 감염 부의를 더 명확히
제거할 수 있습니다.
이를 통해 자연치를 보존할 수 있고
발치를 대체할 수 있는 현실적인 방법으로
각광받고 있습니다.
근관 내 ledge(근관을 확대하거나 기구를 삽입하는
과정에서 원래의 경로를 벗어나 더이상 진행되지 않게
막는 인공적인 턱이 생긴 상태)가 형성되어
치근단 접근이 어려웠지만 초음파를 이용한
근관 세척법을 통해 최대한 세척해내주었습니다.

더불어 c형 근관을 가지고 있어 분리되지 않고
하나로 이어져 내부 구조가 매우 복잡하고
불규칙하였는데요.
치료 중에도 볼 쪽으로 부어 있던 부종이
가라 앉지 않아서 치아 재식술을 시행하기로
잠정 결정 후 1달간 환자분의 여행 일정으로 인해
치료를 진행하지 못했습니다.

1달 후 부종이 사라지고 치근단 병소가
해소되어 최종보철물 제작을 진행하였습니다.
이후에도 점차 골소실이 메워져 수술 없이
마무리가 되었습니다.
최근 치료 장비의 발전과 함께
신경치료의 성공률이 점차 높아지고 있으며,
자연치아를 살리는 방향으로 치료 전략이 변화하고 있습니다.
인공치아는 일정한 기간이 지나면
주변 조직과의 조화가 떨어질 수 있고,
유지·보수에도 한계가 있기 때문에
가능하면 자연치아를 보존하는 것이 권장되는데요.
자연치아는 신경이 살아 있는 한
감각 전달이 가능하며 음식물 섭취 시의
만족감도 높아 치조골의 흡수를 막아주며
주변 치아와의 기능적 조화도 뛰어납니다.
반면 발치를 하게 되면 인접 치아의 이동,
잇몸뼈 손실 등의 문제가 발생할 수 있어
이에 따라 발치보다는 보존 치료가
우선적으로 고려되어야 합니다.
재근관치료는 신경치료 후에도 통증이 남거나
염증이 재발한 경우에 치아를 보존할 수 있는
효과적인 치료 방법으로 조기에 정밀한 진단을 받고
광화문치과 전문의에게 치료를 받는 것이
무엇보다 중요할 것입니다.
감사합니다!
*모든 증례 사진은 의료법 제23조, 제 56조에 의거하여 환자분의 동의 하에 업로드가 진행되었습니다.
*치료 사진은 모두 본원에서 치료한 환자분의 사진입니다.
*치료 사진은 모두 동일인의 사진이며, 동일조건에서 촬영하였습니다.
*개인의 차이에 따라 시술 및 수술 후 부작용이 발생할 수 있으며, 의료진과 충분한 상담을 받으시기 바랍니다.
