광화문치과 보철교체와 재신경치료
안녕하세요!
광화문치과의 김반석 원장입니다.
보철물은 하루에도 수천 번의 저작 압력을
견디며 뜨겁고 찬 음식, 산성 음료 등에
지속적으로 노출됩니다.
이러한 환경이 반복되면 접착력이 떨어지거나
보철물과 자연치 사이에 미세한 틈이
생기게 되어 세균이 침투하면 2차 충치나
치근 염증이 발생할 위험이 높아집니다.
특히 신경치료 후 보철치료를 받은 치아는
통증이 없어 이상을 인지하기 어렵기 때문에
광화문치과 정기적인 검진이 필수적입니다.
오늘은 보철 교체와 재신경치료를 진행하신
환자분을 소개해 드리도록 하겠습니다.

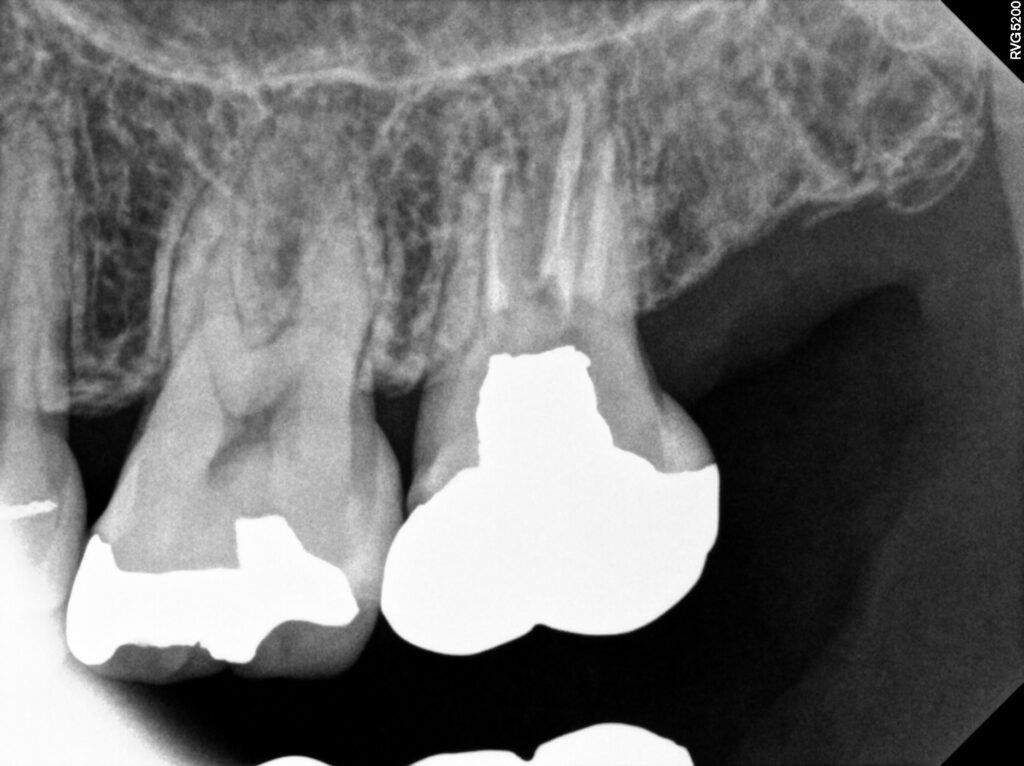
환자분께서는 치아 사이 공간이 있어서
교체를 원하신다며 내원해 주셨는데요.
사보험을 가지고 계셨기 때문에 연간 3개의
크라운 혜택이 적용 가능하셔서 오른쪽 아래
어금니 부위 교체를 먼저 진행하기로 하였습니다.
임신 중에도 안정적으로 치료가 가능한
중기에 치료를 결정하여 기존 크라운을
교체 완료 하였습니다.
재보철치료는 기존 보철물을 제거하고
새로운 보철로 교체하는 치료로
단순히 외형을 바꾸는 것이 아니라
치아 내부와 잇몸 상태, 교합 관계까지
다시 평가한 뒤 시행하는데요.
오래된 보철물 아래 충치가 생기거나
잇몸이 퇴축되어 경계가 드러난 경우,
접착 불량으로 냄새나 통증이 발생할 때
필요하며 이는 단순한 교체가 아니라
구강 건강을 재정비하는 과정임을
이해하는 것이 중요합니다.

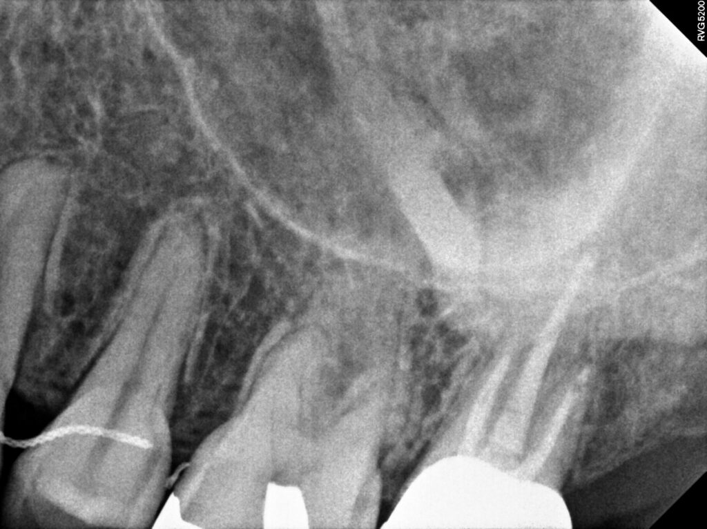
이어서 2024년에 왼쪽 위 가장 안쪽 어금니에
통증이 있어 타 치과에서 재신경치료가 어렵다고 하여
발치권고를 받으셨으나 광화문치과에서
재신경치료를 진행하셨는데요.
잘 맞지 않았던 기존 보철물을 제거하고
내부의 단단한 재료인 코어부터 제거하여
다시 재충전후 보철을 진행하여 현재까지
통증 없이 현재까지 잘 유지하고 계십니다.

왼쪽 아래 임플란트까지 모든 치료를
마무리하였는데요.
일반적으로 보철의 수명은
약 7~10년으로 알려져 있으나
관리 상태와 교합력, 식습관에 따라
차이가 큽니다.
커피나 색소가 많은 음식을 자주 섭취하면
변색이 빨라지고, 이갈이·이악물기 습관이 있으면
보철이 파절될 위험이 커질 수 있으므로
정기적인 스케일링과 관리가 병행되어야 합니다.

치과 보철물의 교체주기는
구체적으로 정해진 것은 없지만
보통 7∼8년 정도이니 적어도
씌운 지 5년이 지나면 정기적인
광화문치과를 통해 점검을 받아보는 것이 좋습니다.
그 전에라도 보철물을 씌운 치아나 주변 잇몸이 시리거나
통증, 입 냄새, 출혈, 치아 변색 등의
증상이 나타난다면 문제가 발생했을 가능성이 크니
즉시 치과를 찾아 정밀검진을 받아보는 것이 좋은데요.
보철물을 오래 사용하기 위해선 꾸준한 관리가
동반되어야 하는데 올바른 칫솔질은 기본이며
치실과 치간 칫솔 사용을 생활화하여
치아 사이에 음식물이 끼지 않도록 하는 것이 중요합니다.
특히 젊은층은 노년층보다 훨씬 장기적인 목표를 세우고
정밀한 치료계획을 세워 진행 후
어떻게 관리하는가에 따라 수명이 결정되기 때문에
평소 올바른 칫솔질과 치실 및 치간 칫솔 사용을
생활화 하는것이 바람직합니다.
감사합니다!
*모든 증례 사진은 의료법 제23조, 제 56조에 의거하여 환자분의 동의 하에 업로드가 진행되었습니다.
*치료 사진은 모두 본원에서 치료한 환자분의 사진입니다.
*치료 사진은 모두 동일인의 사진이며, 동일조건에서 촬영하였습니다.
*개인의 차이에 따라 시술 및 수술 후 부작용이 발생할 수 있으며, 의료진과 충분한 상담을 받으시기 바랍니다.