재신경치료 후 치근단 절제술

재신경치료

안녕하세요.

재신경치료 자연치아 살리기

반석치과 김반석 원장입니다.

 

최근에 치과를 찾으시는 분들 사이에서

가능하면 이를 빼지 않고 살릴 수 없을까요?라는

질문을 많이 받고 있습니다.

 

임플란트와 같은 인공 치아 치료 방법이

발달했음에도 불구하고 자연치를 보존하려는

움직임이 커지고 있는 것인데요.

 

특히 신경치료 후 다시 문제가 생겼을 때

재신경치료를 통해 치아를 유지하려는

선택이 점점 많아지고 있습니다.

 

오늘은 재신경치료와 치근단 절제술을 통해

치아를 살리신 환자분의 사례를 사진과 함께

소개해 드리려고 합니다.

 

 

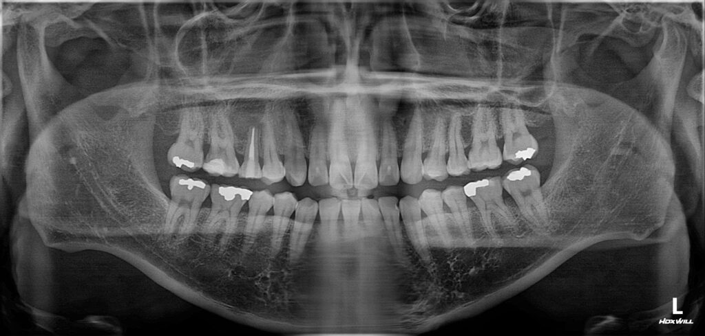
 환자분께서는 신경치료 후 크라운을

진행하지 않았던 오른쪽 위 작은 어금니

뿌리의 큰 낭종이 생겨 있는 상태였는데요.

 

 

위턱뼈의 3개 치아가 넘는 크기의 

낭종으로 제거가 필요한 상황임을 

설명드리고 치료 계획을 수립하였습니다.

 

치근낭 또는 치근단 낭종은 말 그대로

치아 뿌리 쪽에 생긴 낭종을 의미하는데

턱뼈 내에 발생하는 가장 흔한 낭종입니다.

 

 

뿌리 끝으로 염증이 퍼지고 만성화되어

발생하며 심한 충치를 방치했거나

내부의 신경이 손상을 입어 괴사했을 때

쉽게 발생할 수 있습니다.

 

이는 초기에 증상이 없는 경우가 대부분이기 때문에

충치 등 다른 질환으로 검진을 받는 중 우연히

발견되는 경우가 많은 편인데요.

 

서서히 크기가 커지면서 불편한 증상을 

가져올 수 있으므로 발견되면 빠르게

치료를 받을 것이 권고 됩니다.

 

 

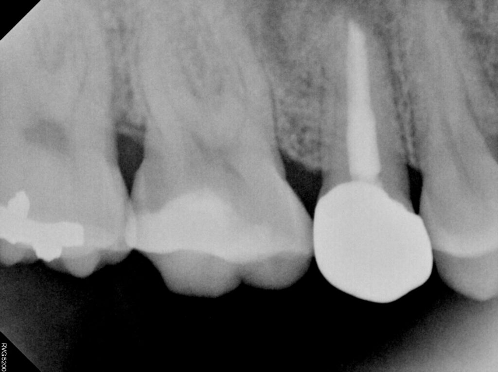
재신경치료의 과정입니다.

 

치료 시 근관 내 MTA 충전까지 

함께 진행하였습니다.

 

MTA 는 미세한 틈까지 촘촘하게 메워주는

높은 밀봉력으로 세균 유입 가능성을 낮춰

염증의 재발을 줄이고

치아를 오랫동안 기능적으로

유지할 수 있도록 도와주는데요.

 

무엇보다도 MTA는 인체 친화적인 무기질 재료로

치수와 직접 접촉해도 자극이 적고

세포 재생을 유도하는 특징을 지니고 있습니다.

 

재신경치료는 기존의 근관 충전재를 제거하고

감염된 부위를 다시 소독한 뒤

정밀하게 재충전하는 과정을 거쳐야 하기 때문에

더 정교한 기술과 경험이 요구됩니다.

 

 

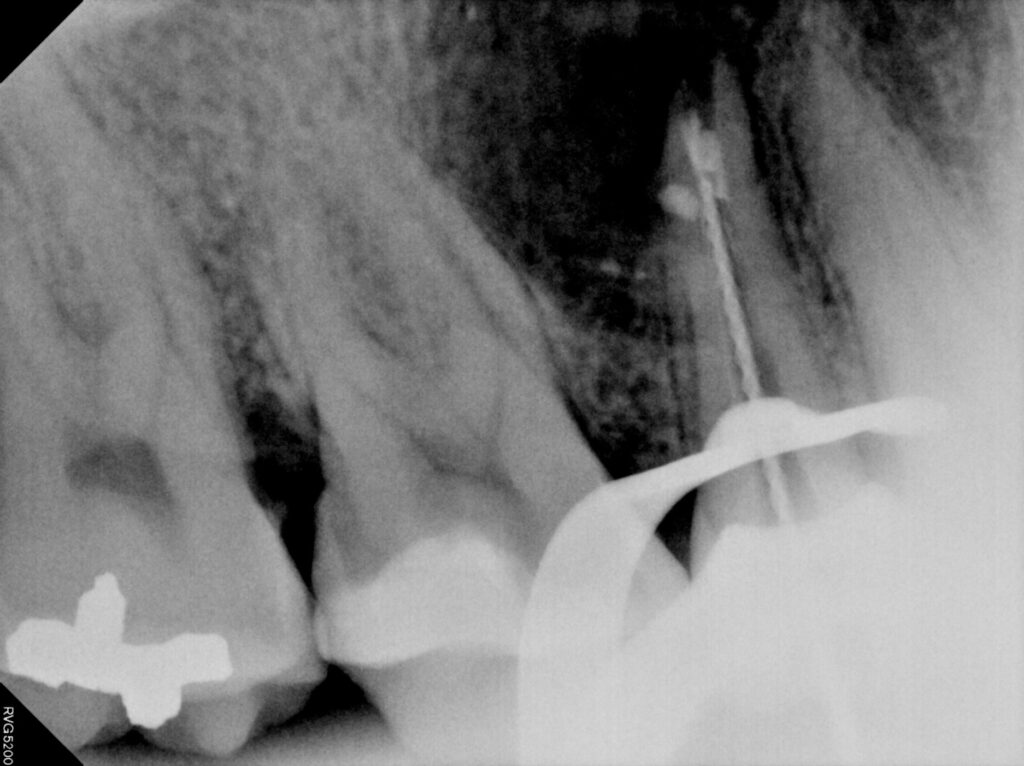
이후 치근단 절제술을 시행하였는데요.

 

사이즈가 너무 크다 보니 보통은 잘 하지 않지만

뼈이식을 함께 진행하였습니다.

 

치근단절제술은 치아 뿌리 끝에 생긴

염증이나 낭종을 외과적으로 제거하는 수술로

보통 신경치료를 받은 후에도 뿌리 끝 주변 조직에

세균이 침투하거나 치근관의 해부학적 구조가 복잡해

약물이 끝까지 도달하지 못할 때 시행됩니다.

 

재신경치료로 해결되지 않는 경우에 한해

치아의 뿌리 끝을 절제해 염증 부위를

직접 정리함으로써 통증과 감염을 차단하는 것이 목적입니다.

 

 

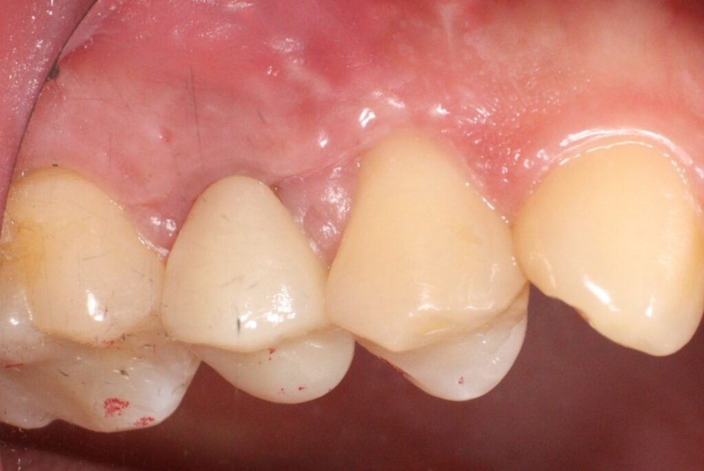
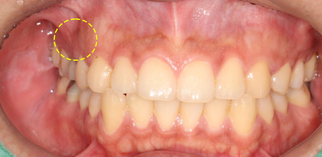
치료를 완료한 후의 모습입니다.

 

얼굴의 부종 감소와 눌렀을 때의

통증이 소실된 것을 확인한 뒤

최종 보철물을 시행하였습니다.

 

 

아직은 상처가 남아 있는 듯 보이는데요.

 

치아 낭종은 특별한 예방 방법은 없지만

충치 등이 원인이 되는 경우가 많은 만큼

구강 위생을 철저히 지키는 것이 도움이 됩니다.

 

올바른 양치질 습관을 갖는 것에 더해

치실이나 치간 칫솔 등을 사용해

치아 사이까지 깨끗하게 관리하는 것이 중요한데요.

 

또한 치석이 쌓여 있으면 염증이 악화되기

쉬운 만큼, 정기적인 치과 검진과 스케일링도 필수입니다.

 

치아 낭종은 특별한 예방 방법은 없지만

충치 등이 원인이 되는 경우가 많은 만큼

구강 위생을 철저히 지키는 것이 도움이 됩니다.

 

올바른 양치질 습관을 갖는 것에 더해

치실이나 치간 칫솔 등을 사용해 치아 사이까지

깨끗하게 관리하는 것이 중요하며

치석이 쌓여 있으면 염증이 악화되기 쉬운 만큼,

정기적인 광화문치과 검진과 스케일링도 필수적입니다.

 

만약  검진에서 충치나 치근 낭종이 발견됐다면

미루지 말고 즉시 치료를 받을 것을 권해드리며

특히 기존에 신경치료 등을 받아본 이력이 있다면

신경 손상 가능성이 더욱 높아질 수 있는 만큼

더욱 세심한 관리가 필요할 수 있음을 명심해 주시길 바랍니다.

 

감사합니다!

 

*모든 증례 사진은 의료법 제23조, 제 56조에 의거하여 환자분의 동의 하에 업로드가 진행되었습니다.
*치료 사진은 모두 본원에서 치료한 환자분의 사진입니다.
*치료 사진은 모두 동일인의 사진이며, 동일조건에서 촬영하였습니다.
*개인의 차이에 따라 시술 및 수술 후 부작용이 발생할 수 있으며, 의료진과 충분한 상담을 받으시기 바랍니다.

 

 

반석치과보존과치과 바로가기

 

광화문치과 자연치 를 살리기 위한 마지막 방법 재신경치료 후 치아재식술 치료 과정

문의 전화

02-776-2080

네이버 예약

네이버 예약