광화문치과 잇몸 염증으로 인한 재근관치료
안녕하세요!
광화문치과 반석치과보존과치과의
김반석 원장입니다.
신경치료는 치아 내부의 염증과 세균을
제거해 자연치아를 보존하는 치료지만
치료가 완료됐다고 해서 모든 문제가
영구적으로 해결되는 것은 아닙니다.
일정 시간이 지난 뒤 통증이 재발하거나
염증이 다시 발견되는 경우,
재신경치료가 필요할 수 있는데요.
처음 신경치료 후 통증이 재발한다고 해서
바로 발치를 생각하기 보다는 현재 상태를
정밀히 살피고 치아 기능을 살릴 수 있는
방안을 모색하는 것이 바람직합니다.
이때 고난도 보존치료를 시행할 수 있는
미세현미경 등의 장비를 보유한 치과인지,
이를 전담하는 의료진의 경험이 풍부한지를
중점적으로 고려하는 것도 중요한 점 중 하나입니다.
오늘은 광화문치과에서 신경치료를 받은 치아에
염증이 생겨 재근관치료를 진행하신 환자분을
소개해 드리려고 합니다.

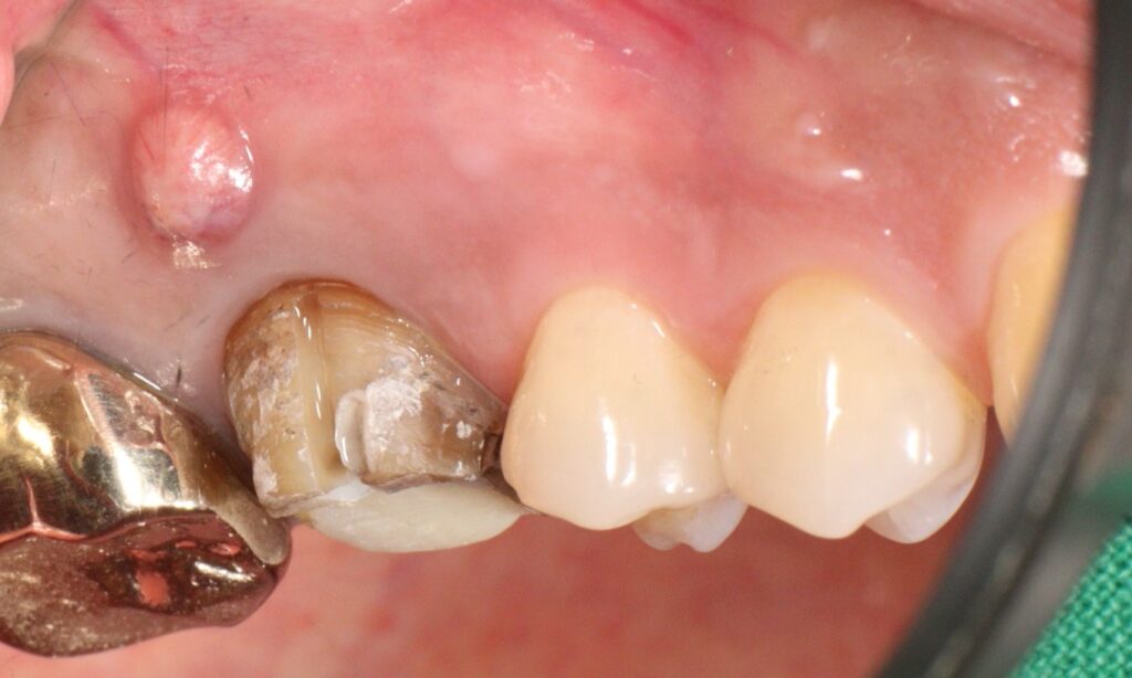
환자분께서는 오른쪽 위 크라운을 씌운
어금니에 염증과 통증이 생겨 치아가
흔들리신다며 광화문치과에 내원해 주셨는데요.
환자분께서 광화문치과의 반석 원장님이라면
치아를 살려주실 것이라는 추천을 받으시고
오셨다는 말씀을 해주셨습니다.


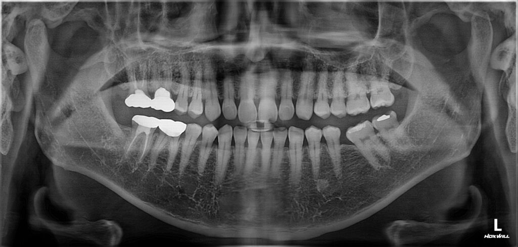
오른쪽 위 첫번째 어금니 치아 뿌리 염증으로 인해
잇몸이 부어 고름 주머니가 형성된 것을
확인할 수 있었는데요.
남아 있는 치질의 양이 적고
예후가 좋지 않을 수 있지만
임플란트 식립을 염두에 두고
기존의 크라운을 제거해보기로 하였습니다.

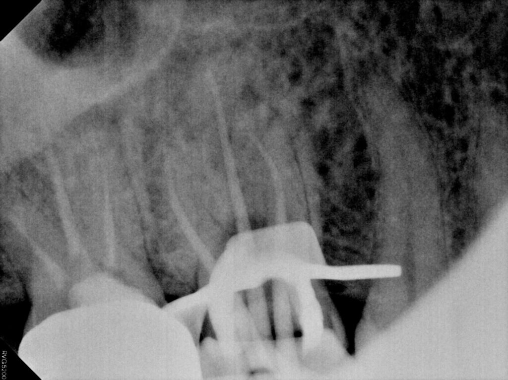
역시 남은 치질이 많이 없었는데요.

치아의 테두리는 남아 있어
재신경치료를 진행하였고
염증과 고름주머니, 통증이 사라져
단단한 재료로 메워 크라운을 진행하도록
준비하였습니다.
재신경치료는 치료 후에도 지속적인 통증이 있거나
치근단 부위에 염증이 생긴 경우,
치아 주변의 잇몸이 붓거나 누르면
통증이 있는 경우 등입니다.
때로는 육안상 큰 문제가 없어 보이더라도
엑스레이나 CT 촬영에서 염증 소견이 발견되어
재치료가 결정되기도 하며
보철물 아래에서 감염이 발견된 경우에도
재신경치료가 요구됩니다.
하지만 모든 경우에 치료가 가능한 것은
아니기 때문에 치아의 균열이 심하거나
근관 내부의 구조 손상이 너무 커져
회복이 불가능한 경우에는
발치나 외과적 치근단 수술 등
다른 대안이 고려되어야 합니다.
특히 기존 보철물이 치아를 깊게
감싸고 있는 경우, 제거 시 치아 자체가
손상될 수 있어 치료 여부를
면밀히 판단해야 합니다.

재신경치료는 기존 치료보다
난이도가 높은데요.
이미 충전된 재료를 제거해야 하고,
이전 치료 과정에서 생긴 구조적 변화까지
고려해야 하기 때문인데요.
또한, 성공률 역시 초기 신경치료보다
낮은 편으로 알려져 있어
치아 상태와 염증 범위에 따라 차이는 있지만
재치료의 경우 성공 가능성이
상대적으로 감소할 수 있습니다.
만약 재신경치료로도 염증이 해소되지 않는다면
치근단절제술과 같은 외과적 방법이나,
최종적으로 발치를 고려해야 하는 경우도 있습니다.

재신경치료가 성공적으로 이루어진 이후에는
재감염을 막기 위해 철저한 관리가 필요한데요.
치료 완료 후에는 빠르게 보철물을 씌워
외부 균의 침입을 방지해야 하며,
평소에도 정기적인 구강 검진과
위생 관리를 통해 상태를 확인해야 합니다.
특히 재신경치료를 받은 치아는
이미 구조적으로 약해져 있는 경우가
많기 때문에 단단한 음식을 씹는 등의
행동은 자제하는 것이 좋습니다.
따라서 정밀한 진단과 계획을 바탕으로 한
재신경치료는 자연치를 보존할 수 있는 치료법으로
치아 건강 유지와 기능 보전에
중요한 역할을 합니다.
증상이 반복되거나 이전 신경치료 이후
불편함이 계속된다면 적절한 시기에
재치료 여부를 평가받는 것이 필요합니다.
하지만 무엇보다 중요한 것은 자연치의 보존으로
숙련된 광화문치과 전문의의 정밀한 시술과
꾸준한 관리가 병행된다면
자연치를 건강한 상태로 유지할 수 있을 것입니다.
따라서 발치를 결정하기 전,
가능한 모든 방법을 통해 자연치 보존의
가능성을 우선 탐색하는 것이 현명한 선택입니다.
감사합니다!
*모든 증례 사진은 의료법 제23조, 제 56조에 의거하여 환자분의 동의 하에 업로드가 진행되었습니다.
*치료 사진은 모두 본원에서 치료한 환자분의 사진입니다.
*치료 사진은 모두 동일인의 사진이며, 동일조건에서 촬영하였습니다.
*개인의 차이에 따라 시술 및 수술 후 부작용이 발생할 수 있으며, 의료진과 충분한 상담을 받으시기 바랍니다.