광화문역치과 라미네이트 및 구강 내 치료
안녕하세요!
광화문역치과 반석치과보존과치과의
김반석 원장입니다.
치아교정은 단순히 배열을 가지런하게 만드는
치료를 넘어 교합과 기능을 함께
개선하는 중요한 과정입니다.
하지만 교정이 끝난 이후에도
모든 환자가 심미적으로 만족하는 결과를
얻는 것은 아닙니다.
교정 장치 착용 기간 동안 구강 위생 관리가 어려워지면서
치아 표면에 착색이 생기거나,
치경부 부위에 우식이 발생하는 경우가
비교적 흔하게 나타납니다.
특히 전치부는 눈에 잘 띄는 부위이기 때문에
작은 변색이나 형태의 불균형만으로도
심미적인 불만으로 이어질 수 있습니다.
이러한 경우 단순한 스케일링이나 미백만으로는
한계가 있으며 치아의 색상, 형태, 기능을 종합적으로
고려한 보존 및 심미 치료가 필요합니다.
라미네이트, 레진, 인레이, 크라운 등의
다양한 치료 방법을 적절히 조합하여 자연스럽고 조화로운
결과를 만드는 것이 중요하며,
환자의 구강 상태와 생활 습관까지 함께
고려한 계획 수립이 필수적입니다.

환자분께서는 교정치료 후
심미적 불만족으로 인해 광화문역치과인
본원에 내원해 주셨는데요.
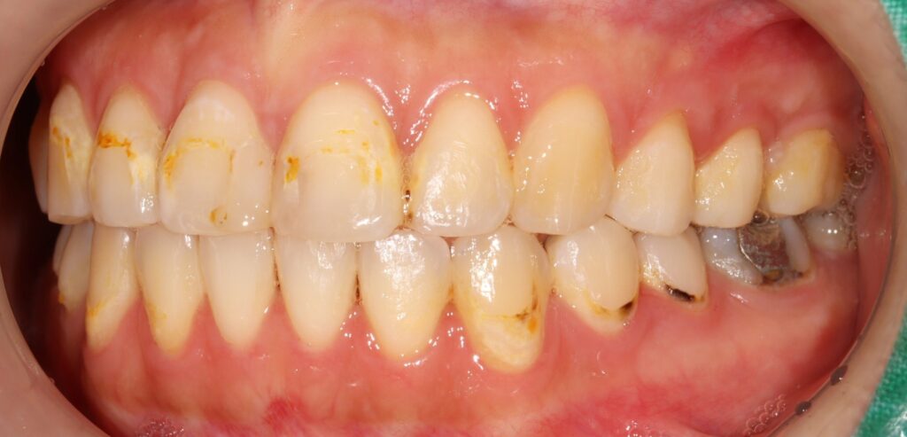
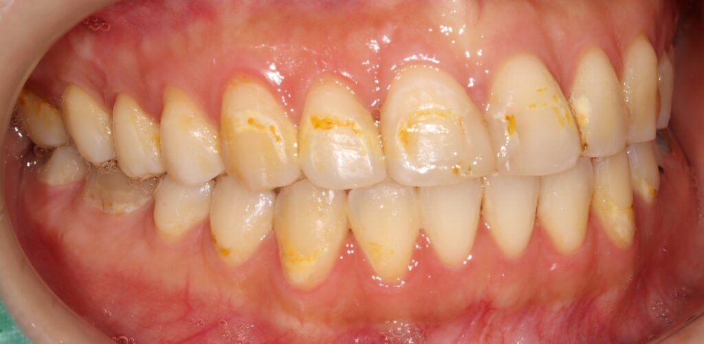
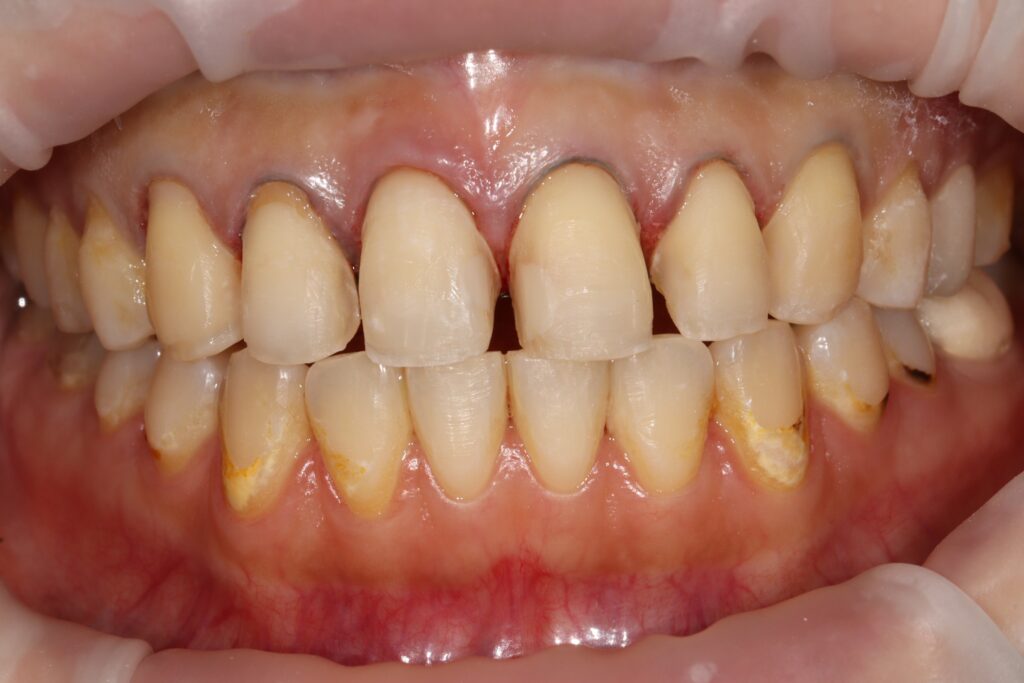
치아 색상 불균형과 심미적 불만족을
주소로 구강 내 검진 결과,
상악 전치부에는 눈에 띄는 착색과 함께
치경부 우식이 다수 관찰되었으며,
일부 치아에서는 구조적인 손상까지
동반된 상태였습니다.
이에 따라 심미성과 기능 회복을
동시에 고려한 복합적인 치료 계획을
수립하였습니다.

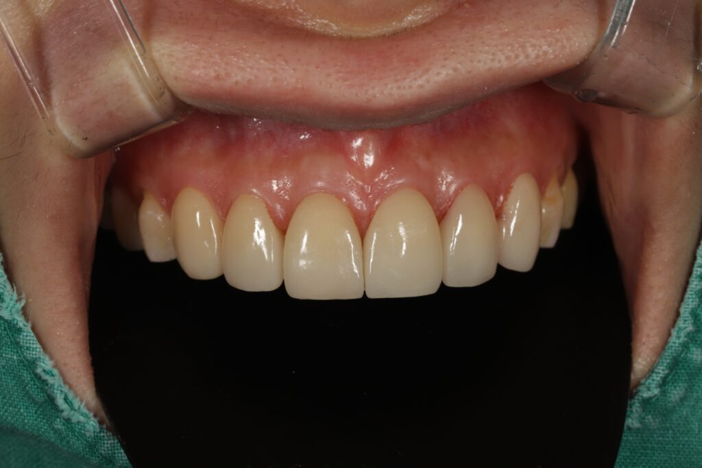
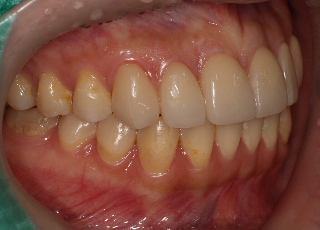
먼저 심미적인 개선이 가장 중요한
위쪽 송곳니부터 송곳니까지
총 6개의 전치부에 대해 e.max empress
라미네이트 베니어를 적용하였습니다.
이를 통해 치아의 색상과 형태를
자연스럽게 개선하고,
전체적인 조화를 맞추는 데 중점을 두었습니다.
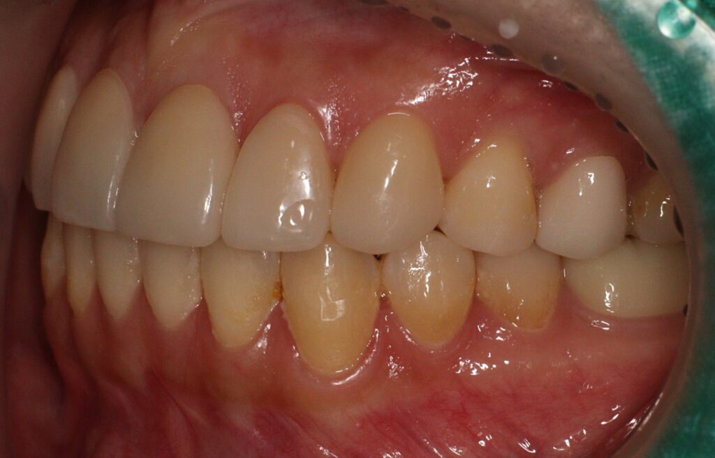
이어서 나머지 치아에서는 치경부 우식 부위를
중심으로 복합레진 수복을 시행하여
손상된 부위를 보존하고 추가적인 진행을 방지하였습니다.


또한 우식 범위가 넓거나 교합 부담이
큰 부위에는 인레이 치료를 적용하여
내구성을 확보하였고,
치수까지 영향을 받은 치아에 대해서는
근관치료를 선행한 후 크라운으로
최종 수복을 진행하였습니다.
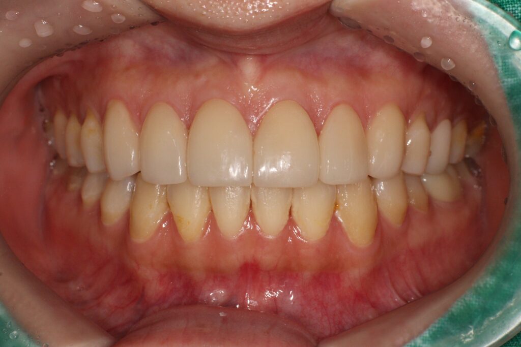
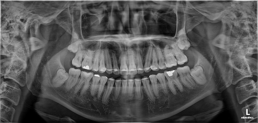
전체적으로 인레이 6개, 근관치료 1개,
크라운 2개, 레진 6개 등 총 20개 치아에 대한
치료가 이루어졌으며,
이를 통해 심미적인 개선과 더불어
기능적인 안정성까지 함께
확보할 수 있었습니다.
치료 후에는 치아의 색상과 배열,
형태가 자연스럽게 어우러지며
환자의 만족도를 높일 수 있었습니다.

교정치료 이후의 심미적 문제는
단순한 외관상의 문제로 보일 수 있지만
실제로는 치아 건강 상태와 밀접하게
연관되어 있는 경우가 많습니다.
따라서 라미네이트, 레진, 인레이, 크라운 등
다양한 치료를 환자의 상태에 맞게
적절히 병행하는 것이 중요하며,
이를 통해 심미성과 기능을
동시에 회복할 수 있습니다.
다만 치료가 성공적으로 마무리되었더라도
구강 위생 관리가 뒷받침되지 않으면
동일한 문제가 재발할 가능성이 높습니다.
특히 양치 습관은 단기간에 급격하게
개선되기 어렵기 때문에 정기적인 스케일링과
불소 도포를 통해 치아를 보호하고
초기 우식을 예방하는 관리가 필수적입니다.
꾸준한 광화문역치과 내원과 관리가 동반될 때
치료 결과를 오랜 기간 안정적으로
유지할 수 있으며,
장기적인 구강 건강에도
긍정적인 영향을 줄 수 있습니다.
결국 치료의 완성은 시술 자체에
그치는 것이 아니라 이후의 지속적인 관리까지
포함된다는 점을 인지하는 것이 중요합니다.
*모든 증례 사진은 의료법 제23조, 제 56조에 의거하여 환자분의 동의 하에 업로드가 진행되었습니다.
*치료 사진은 모두 본원에서 치료한 환자분의 사진입니다.
*치료 사진은 모두 동일인의 사진이며, 동일조건에서 촬영하였습니다.
*개인의 차이에 따라 시술 및 수술 후 부작용이 발생할 수 있으며, 의료진과 충분한 상담을 받으시기 바랍니다.