광화문치과 자연치 를 살리기 위한 마지막 방법 재신경치료 후 치아재식술 치료 과정
안녕하세요,
광화문치과 반석 반석
김반석 원장입니다.
오늘 소개해 드릴 내용은
자연치 보존의 마지막 단계라 할 수 있는
치아재식술 치료 과정을
예시 사진을 보면서 설명해 드리려 합니다.
먼저,
이 용어가 생소하실 수 있는 분들께
간단히 설명해 드리자면
이것은 자연치를 조심스럽게 발치한 후
구강 밖에서 필요한 치료를 시행하고
다시 원래 자리에 심는 치료법을 말합니다.
이 치료법은 일반적인 신경치료나
수술적 방법으로도 해결되지 않는
어려운 케이스에서 선택하는
보존의 마지막 방법입니다.
예시 사진을 보면서
어떤 문제가 있을 때
어떻게 해결할 수 있는지
확인해 볼까요?
광화문치과
어떠한 경우에 생기고
어떤 통증이 있나요?

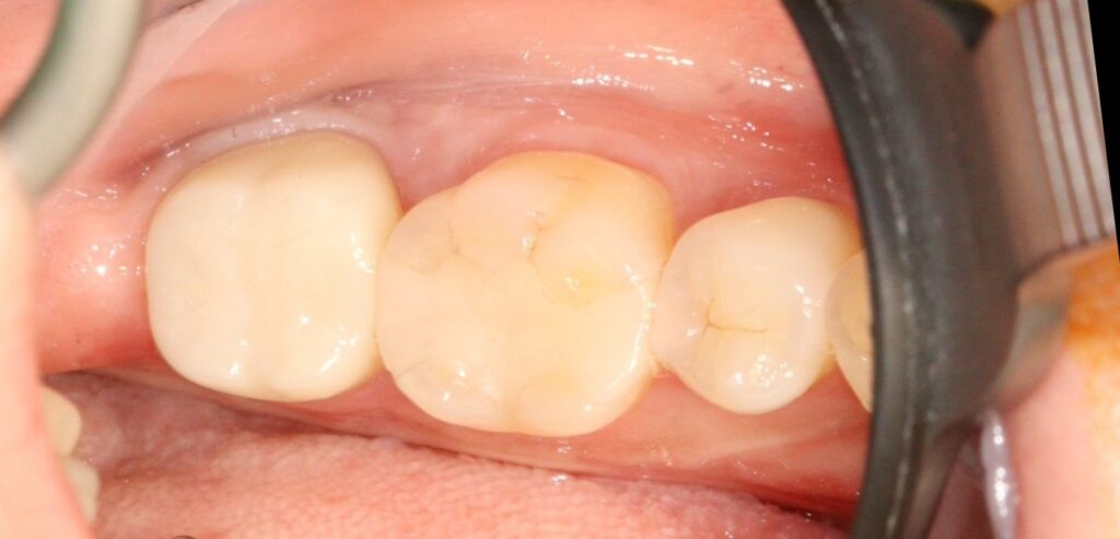
구강 내 모습을 확인해 보면
금니 치료한 어금니에
과거에 신경치료를 받은 후
금관을 씌운 상태인 것으로 확인됩니다.

엑스레이를 보았을 때
치아 뿌리 끝 염증이 이환되어
큰 염증이 나타난 것을
관찰할 수 있는데요.
이러한 경우
저작할 때마다 불편하고
가끔 잇몸이 붓는 느낌이 드는
증상들이 나타날 수 있습니다.
이러한 증상들은
만성 치근단 치주염의
전형적인 특징으로
뿌리 끝 부위의 만성 염증이
주요 원인이 됩니다.
광화문치과
진단 결과
정밀한 검사를 통해
만성 치근단 치주염과
불량한 근관치료에 의한 감염을
확인할 수 있습니다.
특히 설측 잇몸뼈가
심하게 손상되어
치주낭 깊이가 10mm에 달했고
자연치의 흔들림도
관찰될 수 있는데요.

방사선 사진에서는
치근단 부위의 어두운 음영이
뚜렷하게 나타나며
주변 골조직의 파괴가
상당히 진행된 것을
확인할 수 있습니다.
광화문치과
선행해야 되는 치료는?
외과적 진료 방법보다는
비외과적인 방법인 재 근관치료를
선행해야 되는 것이 첫번째 원칙이기에

기존의 불완전한 근관 충전재를 제거하고
근관 내부를 세척하여 세균을 제거한 뒤
다시하는 재신경치료 를 시행합니다.

이 과정에서 현미경 을 활용하여
육안으로 확인하기 어려운
미세한 감염 부위까지 꼼꼼히 치료합니다.
광화문치과
경과 관찰
신경치료 후 6개월이 지난 시점에서
치주낭 깊이는 3mm 정도로 개선되어도
완전히 치유되지 않았다면,
가끔 부종이 나타날 수 있는데요.
이때에는 꼭 재 검진을 받아야 됩니다.

치근단 사진을 보면
치아 뿌리 끝 염증이
치유되지 않은 것을 확인할 수 있습니다.
이는 치근과 치근 사이,
특수한 해부학적 구조나
접근하기 어려운 부위의 감염이
여전히 남아있을 가능성을 뜻합니다.
광화문치과
마지막 방법,
치아재식술
근관치료로도 완전한 치유가
어려운 상황에서
자연치를 보존하기 위한 마지막 방법으로
치아재식술을 시도합니다.
이것은 발치한 후
구강 밖에서 직접적으로
문제 부위를 해결할 수 있어
일반적인 접근법으로는
치료하기 어려운 부위까지
정확하게 처치할 수 있습니다.
광화문치과
진료 과정

먼저 자연치를 손상시키지 않도록
조심스럽게 발치했습니다.
발치된 상태로 구강 외에서
정밀하게 검사하면서
염증 조직을 제거하는데요.

관찰 결과, 자연치의 형태가 C형으로
특수한 구조를 가지고 있습니다.
이 오목한 부위에 염증조직이
단단하게 달라붙어 있는 것을
확인할 수 있습니다.
이 부분이 바로 신경치료로도
제거되지 않았던 감염 부위인데요.

치근단 부위를 2~3mm 절단한 후
감염된 조직과 오염된 상아질을 제거합니다.

특히 C형 구조의 오목한 부분에
숨어있던 염증조직을
제거하는 것이 치료의 핵심인데요.

이후 MTA를 이용하여
치근단 부위를 밀봉했습니다.
MTA는 생체 친화적인 재료로
주변 조직의 치유를 촉진하고
세균의 침입을 효과적으로
차단하는 특성이 있습니다.


모든 처치가 완료된 후
즉시 원래 위치에 다시 심었습니다.
광화문치과
진료 완료 후 경과는?

치아재식술 후 4개월까지 경과 모습으로,
엑스레이 사진에서는 기존 염증 부위가
점점 건강한 뼈조직으로 채워지고 있는 것을
명확하게 확인할 수 있습니다.
치조골이 생성되면서
동요도가 사라졌고 불편했던 느낌도
모두 해결된 것을 확인할 수 있습니다.
이는 재식술이
성공적으로 이루어졌음을
보여주는 소견이었습니다.
이번 케이스에서 주목할 점은
재 신경치료 시에는
치근단까지 근관충전이
잘 이루어지만,
자연치의 C형 해부학적 구조로 인해
오목한 부위에 채워진 염증조직이
자연 치유되지 않았던 것이
지속적인 통증의 원인이었습니다.
일반적인 근관치료로는
이러한 특수한 부위에
접근하기가 어렵습니다.
재식술을 통해
구강 밖에서 직접적으로
문제 부위를 확인하고
오목한 부분의 염증을 제거한 후
MTA로 밀봉함으로써
주변에 정상적인 조직이
형성될 수 있는 환경을
만들어 줄 수 있었습니다.
치아재식술은
보존의 마지막 단계로
일반적인 치료법으로는
해결되지 않는 어려운 케이스에서
자연치를 살릴 수 있는
소중한 치료 옵션입니다.
하지만 이 술식은
모든 케이스에 적용할 수 없기에
내 구강 문제점에서 적용할 수 있는지 확인 후
진행을 하는 것을 권해 드립니다.
광화문 치과 의사 김반석이었습니다.
긴 글 읽어주셔서 감사합니다.



