자연치아살리기 이맥스 세라믹 온레이 수복
안녕하세요.
자연치아살리기에 진심인
반석치과보존과치과의 김반석 원장입니다.
치아는 한 번 손상되면 원래 상태로
완전히 회복되기 어렵기 때문에
가능한 한 자연치아를 보존하는 것이 중요합니다.
특히 충치나 파절이 발생했을 때
무조건 크라운 치료를 진행하기보다는
손상 범위에 따라 보다 보존적인 치료 방법을
선택하는 것이 장기적인 구강 건강에
도움이 될 수 있습니다.
최근에는 심미성과 기능성을 동시에 고려한
다양한 수복 방법이 발전하면서 자연치를
최대한 유지하면서도 충분한 강도를
확보할 수 있는 치료가 가능해졌습니다.
그중에서도 세라믹 인레이는 자연치와
유사한 색상과 물성을 지니고 있어
심미적인 만족도가 높고,
치아 삭제량을 줄일 수 있다는 점에서
많은 환자분들이 선호하는 치료 방법 중
하나로 자리잡고 있습니다.

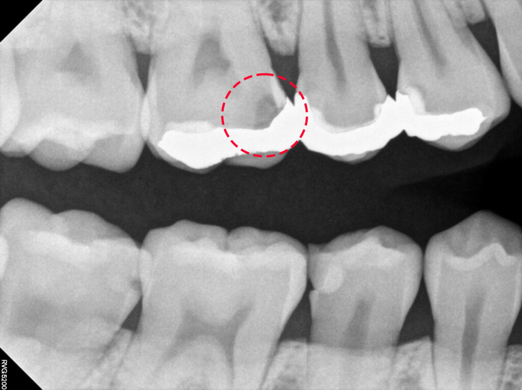
이번 증례는 기존 금 인레이가 수복되어 있던
치아에서 재치료가 필요했던 경우로,
기존 보철물의 변연 적합도가 떨어지거나
2차 우식이 발생한 상황이었습니다.
오래된 금 인레이는 내구성 면에서는
장점이 있지만 시간이 지나면서
주변 치아와의 경계 부위에서 미세한 틈이 생기거나,
심미적인 측면에서 부담을 느끼는 경우가 많습니다.

이에 따라 기존 보철물을 제거하고
내부 상태를 확인한 뒤, 우식 조직을 깨끗하게
제거하는 과정이 선행되었습니다.
치아 내부를 정리한 후에는 남아있는
치질의 양과 교합 상태를 고려하여
수복 방법을 결정하게 됩니다.
이 경우 크라운 치료를 진행하기에는
삭제량이 과도해질 수 있어,
보다 보존적인 접근이 가능한
세라믹 인레이를 선택하였습니다.
세라믹 인레이는 치아 형태에 맞게
정밀하게 제작되며 접착 방식을 통해
치아와 단단히 결합되기 때문에
강도와 밀폐력이 우수한 특징을 가지고 있습니다.

자연치아살리기를 목표로 하여
보철을 수복하였는데요.
온레이는 술후 민감증이나 추가 파절 등이 없게
하기 위해서는 경험과 원칙이 중요하여
매우 세밀한 기술이 필요합니다.
이맥스 세라믹은 특히 강도가 높고
투명도가 자연치아와 유사하여
심미성이 뛰어난 재료입니다.
기존 금 인레이와 비교했을 때 색상이 자연스러워
주변 치아와의 이질감이 거의 없으며,
환자분의 만족도가 높은 편입니다.
또한 치아 삭제를 최소화하면서도
충분한 기능을 회복할 수 있어
장기적인 관점에서도 유리한 선택이 될 수 있습니다.
치료 후에는 자연스러운 형태와 색상이 회복되며,
기능적으로도 안정적인 상태를 기대할 수 있습니다.

결과적으로 이번 증례에서는
기존 금 인레이를 제거하고 이맥스 세라믹 인레이로
재수복함으로써 심미성과 기능성을
모두 개선할 수 있었습니다.
무엇보다 자연치아살리기를 통해
치료를 마무리할 수 있었다는
점에서 의미가 있습니다.
치아는 한 번 삭제하면 되돌릴 수 없기 때문에
치료 계획 수립 시 불필요한 삭제를 줄이고
적절한 수복 방법을 선택하는 것이 중요합니다.
치아 상태에 따라 적절한 보존적 치료를 선택한다면
자연치아살리기를 보다 오랫동안
건강하게 유지할 수 있습니다.
정기적인 검진과 조기 치료를 통해
큰 손상으로 이어지기 전에 관리하는 것이
무엇보다 중요하며 작은 변화라도
놓치지 않는 습관이 장기적인 구강 건강을
지키는 핵심이라고 할 수 있습니다.
감사합니다!
*모든 증례 사진은 의료법 제23조, 제 56조에 의거하여 환자분의 동의 하에 업로드가 진행되었습니다.
*치료 사진은 모두 본원에서 치료한 환자분의 사진입니다.
*치료 사진은 모두 동일인의 사진이며, 동일조건에서 촬영하였습니다.
*개인의 차이에 따라 시술 및 수술 후 부작용이 발생할 수 있으며, 의료진과 충분한 상담을 받으시기 바랍니다.