광화문치과 뿌리까지 금이 간 치아 즉시 발치 후 임플란트
안녕하세요!
광화문치과 반석치과보존과치과의
김반석 원장입니다.
사고나 진행된 치주질환 등으로 인해
치아를 제거해야 하는 상황에서는
예전에는 발치 후 잇몸 조직이 충분히 회복될 때까지
오랜 시간을 기다리는 것이 일반적이었습니다.
그러나 최근에는 치과 치료 기술이 발전하면서
발치한 당일 바로 임플란트를 심는
즉시 식립 방법이 주목받고 있으며,
치료 기간을 줄이려는 환자들에게
하나의 선택지로 고려되고 있습니다.
기존의 임플란트 과정은 치아를 발치한 이후
해당 부위에 새로운 뼈가 형성되기를 기다린 뒤
식립을 진행하는 방식입니다.
이 과정은 보통 수개월이 필요하기 때문에
특히 외관상 중요한 앞니 부위이거나
바쁜 일상으로 내원이 쉽지 않은 경우에는
시간적인 부담이 크게 느껴질 수 있었습니다.
반면 발치 후 즉시 식립은 치아를 제거한 당일,
해당 위치에 곧바로 임플란트를 식립하는
치료 방식으로 이 방법은 발치 직후의 조직 상태를
활용해 자연스러운 치유 과정을 유도하며,
잇몸뼈와 임플란트의 안정적인 결합을
기대할 수 있다는 점이 특징입니다.
또한 치아를 발치한 직후는
주변 잇몸 조직의 회복 능력이 활발한 시기로
이를 적절히 활용하면 잇몸뼈가 줄어드는 현상을 줄이고
잇몸 라인의 형태를 비교적 자연스럽게
유지하는 데에도 긍정적인 영향을 줄 수 있습니다.
오늘은 광화문치과에서 뿌리까지 금이 간 치아를 발치한 뒤
즉시 임플란트를 식립하신 환자분을
소개해 드리도록 하겠습니다.

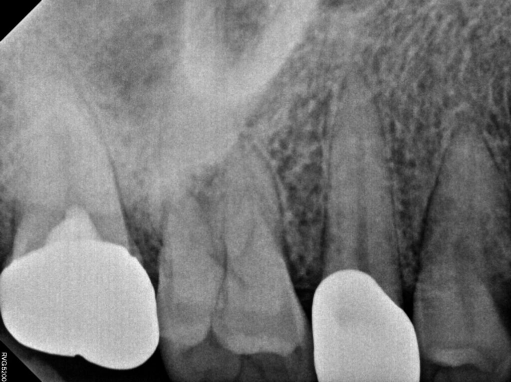
환자분께서는 치아에 금이 뿌리까지 이어져
치근 파절로 진단 되어 이런 경우에는 신경치료를
진행한다고 해도 예후가 좋지 않아
빠르게 발치 후 임플란트를 진행하는 것이
낫다고 판단되어 진행하시기로 하였습니다.

환자분께서는 발치를 하더라도
주변 뼈가 발달되어 있으셔서
치유가 좋을 것으로 예상하고
발치 3개월 후 임플란트 식립을
진행하도록 하였습니다.
치아에 균열이 생긴 경우
깊이와 범위에 따라 달라지는데
비교적 얕은 크랙은 손상 부위를 정리한 뒤
레진으로 충전해 기능을 회복할 수 있습니다.
균열이 더 진행된 경우에는 인레이나 온레이와 같은
보철물을 통해 치아 구조를 보강하는
방식이 적용되며 신경까지 손상이 진행됐다면
근관치료 후 크라운을 씌워 치아를 보호하게 됩니다.
균열이 치근까지 깊게 진행되거나
이미 파절이 발생한 경우에는 자연치 보존이 어려워
발치 후 임플란트 치료가 불가피 하므로
단순한 시림이나 일시적인 통증을
가볍게 넘기지 말아야 하는 이유입니다.

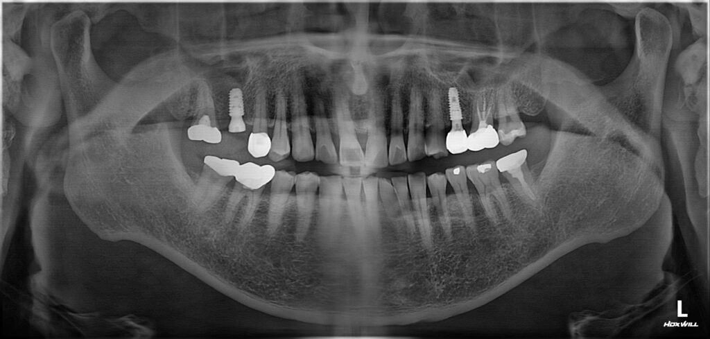
상악동의 치조정 방향에서 거상시켜
적절한 임플란트의 길이와 뼈를 만들어 주어
수술에서는 절개하지 않고 무절개 수술법을
이용했기 때문에 수술이 빠르고
통증 없이 마무리 하였습니다.
무절개 임플란트의 가장 큰 장점은
출혈과 부종이 적다는 것으로 잇몸을 열지 않으므로
봉합 과정이 생략될 수 있으며,
이는 곧 통증의 감소와 빠른 일상 복귀로
이어지게 될 수 있습니다.
반드시 3D CT 촬영을 통해
치조골의 폭과 높이, 신경의 위치를
입체적으로 분석하는 과정이 선행되어야 합니다.

초기 고정력은 15N정도로 강한편은
아니었기 때문에 다시 3개월정도
기다렸다가 보철 시행까지 마무리를 하였습니다.
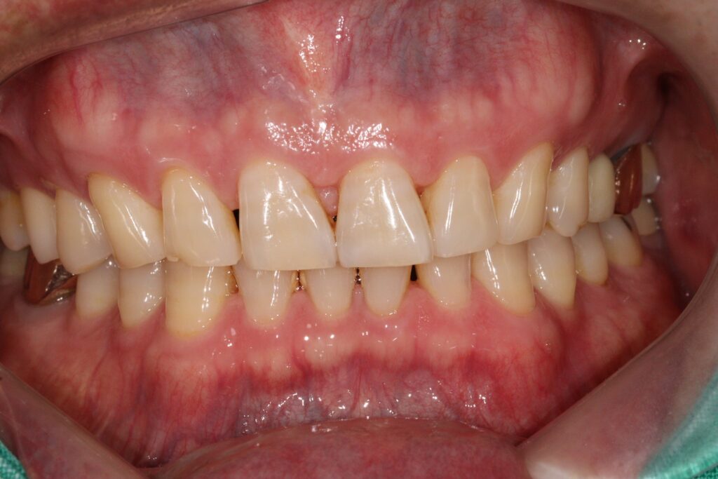
임플란트는 자연 치아와 달리 신경이 없어
이상이 발생해도 통증으로 바로 인지하기
어려운 경우가 있는데요.
따라서 시술 이후 정기적인 검진과 스케일링,
교합 점검 등 임플란트 관리가 중요합니다.
관리가 제대로 이루어지지 않을 경우
주위염이 발생할 수 있으며
이는 유지 기간에도 영향을 줄 수 있습니다.
이에 추천 정보만을 기준으로 판단하기보다는
의료진의 경험과 진단 과정, 위생 관리 시스템,
사후관리 프로그램 등을 종합적으로
확인하는 것이 필요합니다.

광화문치과 임플란트 치료는 환자마다 구강 상태가
다르기 때문에 동일한 방식으로 진행하기보다
정밀 진단을 기반으로 한 맞춤형 치료 계획이
중요하므로 임플란트 가격이나 비용뿐 아니라
치료 과정과 관리 계획까지 충분히 이해한 뒤
결정하는 것이 바람직합니다.
치료 결과와 유지 기간은 개인의 구강 상태와
관리 여부에 따라 차이가 날 수 있는 만큼
추천 정보에 의존하기보다 직접 광화문치과 원장님과
상담을 통해 치료 방향을 설정하는 것이 중요합니다.
감사합니다!
*모든 증례 사진은 의료법 제23조, 제 56조에 의거하여 환자분의 동의 하에 업로드가 진행되었습니다.
*치료 사진은 모두 본원에서 치료한 환자분의 사진입니다.
*치료 사진은 모두 동일인의 사진이며, 동일조건에서 촬영하였습니다.
*개인의 차이에 따라 시술 및 수술 후 부작용이 발생할 수 있으며, 의료진과 충분한 상담을 받으시기 바랍니다.