을지로치과 앞니 임플란트 및 치아 사이 레진이 필요하다면을지로치과

안녕하세요!

을지로치과의 김반석 원장입니다.

 

가지런하고 깨끗한 치아는

인상까지 밝고 깨끗하게 만들어 주며

변색되거나 치열이 바르지 않은 경우,

심미적 개선을 위한 치과 치료를

진행하기도 하는데요.

 

또한, 치아는 심미적인 부분뿐만 아니라

기능적으로도 많은 역할을 하여

저작 기능과 정확한 발음 구사 등의

역할을 하는 부위로

 

기능적으로 문제가 발생했다면

적절한 치료로 치아 건강을

유지하는 것이 중요합니다.

특히 벌어진 앞니를 콤플렉스로 생각하여

치료가 필요한 경우 무엇보다 치료를 위해

을지로치과에 내원하기도 하는데요.

 

치과에서 앞니 벌어짐을 치료할 수 있는

다양한 방법들 중 장단점을 확인하여

전문 의료진과 충분한 상담 후

자신에게 맞는 치료를 받는 것이 좋습니다.

 

오늘은 을지로치과에서 보기 싫은 앞니 틈을

레진과 앞니 임플란트를 진행하신 환자분을

소개해 드리려고 합니다.

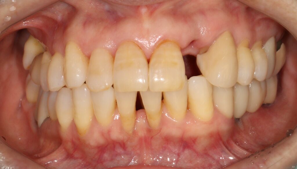
환자분께서는 벌어진 앞니 틈이 보기 싫어

치료 상담을 위해 을지로치과에 내원해 주셨습니다.

 

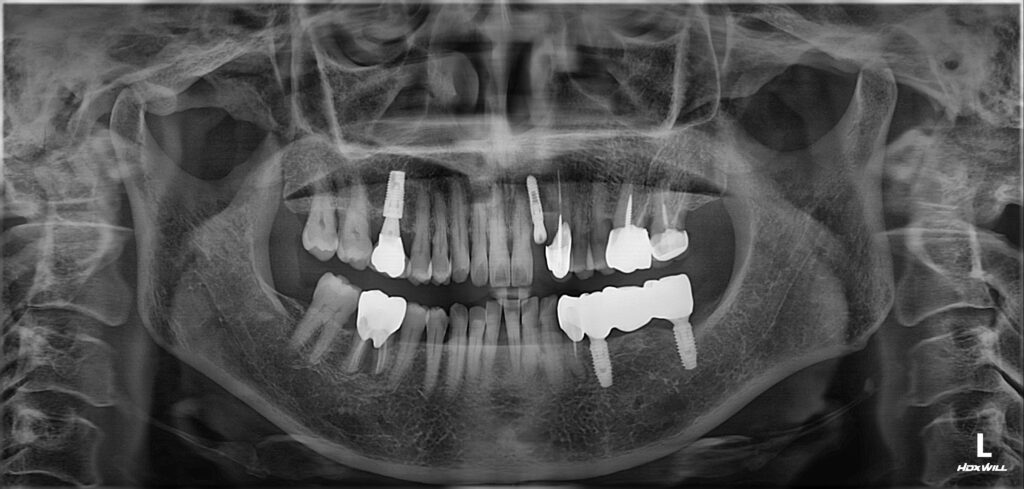
이미 상실한 위쪽 앞니와 아래쪽 앞니의 벌어진

틈도 치료를 원하셨는데요.

 

따라서 위쪽 앞니는 임플란트 식립과 

아래쪽 앞니는 레진을 통해 틈을 메우는

치료를 진행하기로 하였습니다.

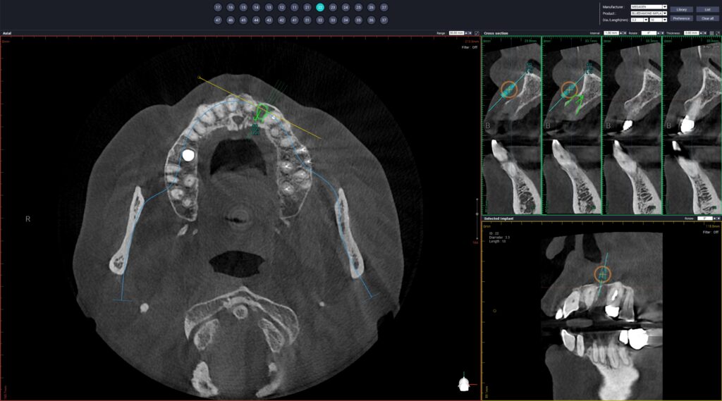
보험 임플란트 가능하셨고

콜라겐을 함유하고 있는 블럭형태의 골이식재를

사용하는 것이 움직임이 적기 때문에

 

더 예지성있는 형태를 만들수 있을 것으로 생각하여

진행하기 전 CT 촬영을 통해 정밀한 진단을 바탕으로

치료를 계획하였습니다.

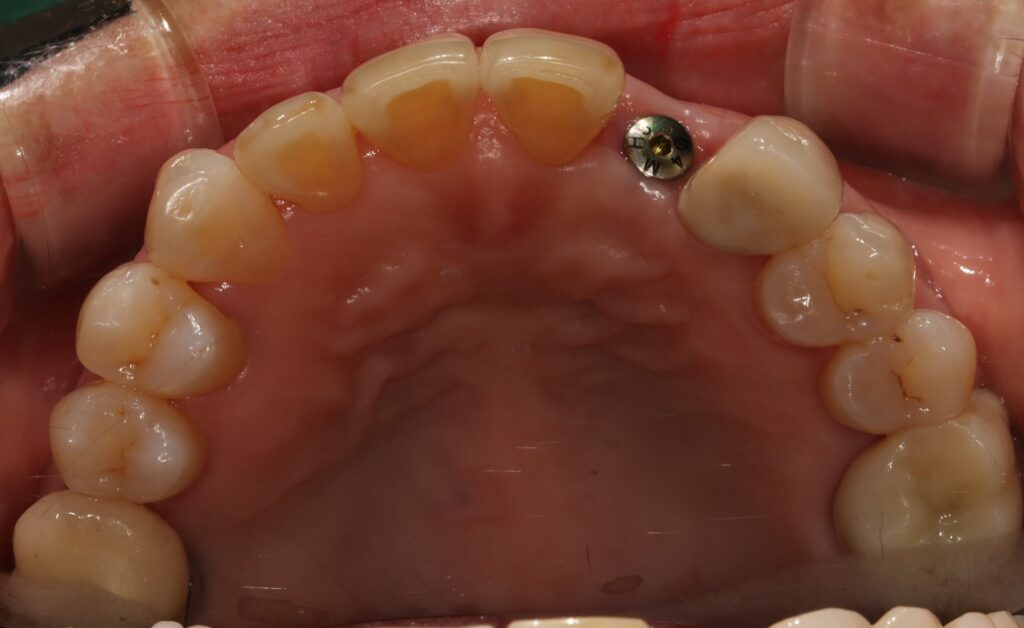
뼈이식 후 임플란트 식립을 진행한 모습입니다.

 

앞니 부위 임플란트는

특히 위치와 각도, 잇몸선과의 조화가

결과에 큰 영향을 주는데요.

 

심미적인 요소를 세밀하게 반영해야 하기 때문에

식립 전 계획 과정이 더욱 중요하여

발치 직후 임플란트를 식립하는

즉시 식립의 경우에도 디지털 분석을 통해

보철물 형태까지 함께 예측하는 접근이 활용되고 있습니다.

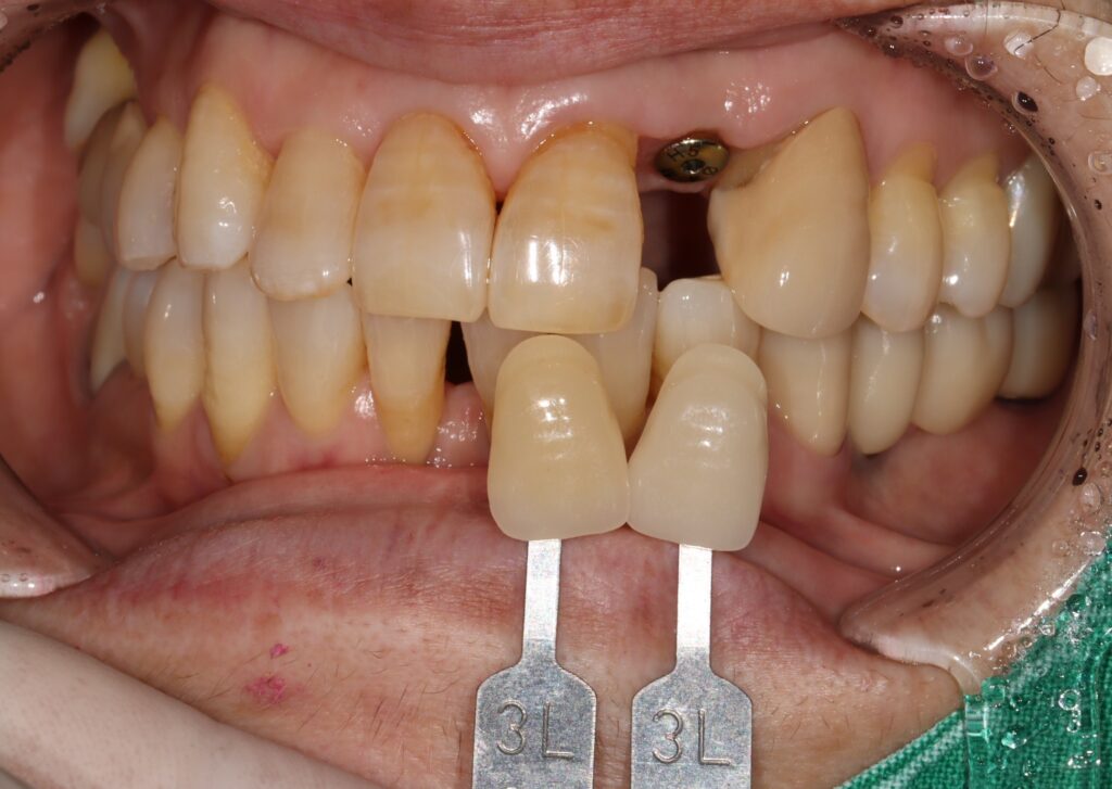
앞니의 색상을 결정하는 과정인데요.

 

앞니임플란트는 높은 난이도의 치료로

분류되는데 잇몸 라인과 치아의 색상·형태·배열까지

고려해야 하기 때문입니다.

 

자연치아와의 조화를 이루기 위해서는

의료진의 섬세한 판단과 풍부한 임상 경험이

 

필수적으로 을지로치과 선택 시에는

의료진의 경력과 앞니임플란트 시술 경험,

정품 재료 사용 여부, 합리적인 비용 체계 등을

종합적으로 확인하는 것이 바람직합니다.

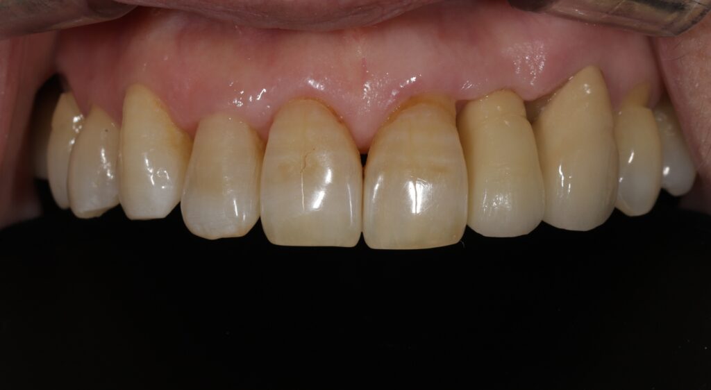
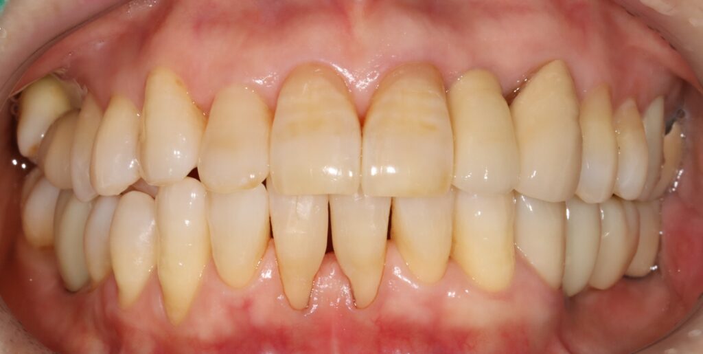
아래 앞니는 잇몸쪽으로 보이는

블랙트라이앵글과 잇몸 퇴축이 심하고

치아의 뿌리 형태를 다 채울 수는 없어서
뿌리쪽보다는 머리 부분의 공간만 채우는

디자인으로 해서 잇몸에 자극되지 않도록 

치료를 마무리 하였습니다.

앞니는 외관상 빠른 회복이 필요한 경우가 많아

조건이 충족된다면 원데이 임플란트를

고려해볼 수 있습니다.

 

또한, 앞니임플란트는 결과에 따라

심미적 만족도가 크게 달라질 수 있는 치료로

자연치와 구분되지 않는 것을 목표로

잇몸 형태와 치아 배열까지 세심하게 고려해야 하며,

 

이를 위해서는 풍부한 경험과 노하우를

갖춘 의료진의 역할이 무엇보다 중요합니다.

 

만족스러운 앞니임플란트 결과를 위해서는

충분한 상담과 정밀 진단을 바탕으로

신중하게 치과를 선택하는 것이 바람직할 것입니다.

 

감사합니다!

 

*모든 증례 사진은 의료법 제23조, 제 56조에 의거하여 환자분의 동의 하에 업로드가 진행되었습니다.
*치료 사진은 모두 본원에서 치료한 환자분의 사진입니다.
*치료 사진은 모두 동일인의 사진이며, 동일조건에서 촬영하였습니다.
*개인의 차이에 따라 시술 및 수술 후 부작용이 발생할 수 있으며, 의료진과 충분한 상담을 받으시기 바랍니다.

반석치과보존과치과 바로가기

광화문치과 앞니 심미보철과 레진 빌드업

 

문의 전화

02-776-2080

네이버 예약

네이버 예약