광화문치과 딱딱하지 않은 음식에도 이가 깨지는 이유와 치아 파절 치료법, 레진 코어부터 지르코니아 크라운 까지

안녕하세요,
광화문치과 치아 지킴이
김반석 원장입니다.
구강 진료를 보는 의료진으로써
딱딱하지 않은 음식을 먹는데도
왜 이가 깨질까요?
라는 질문을 자주 받게 됩니다.
실제로 부드러운 음식을 드시다가도
치아 파절이 발생할 수 있는데요.
이는 이미 이가 약해진 상태에서
약한 힘에도 파절이 일어날 수 있기 때문입니다.
광화문치과
치아 파절의 주요 원인은?
크게 6가지로 분류할 수 있습니다.
[자연치의 피로 누적]
– 오랜 시간 음식을 씹으면서
미세한 균열이 생기거나
피로가 누적되어 이가 약해집니다.
– 약해진 치아는 특별히 단단하지 않은
음식에도 쉽게 부러질 수 있습니다.
[충치 또는 기존 손상]
– 충치로 인해 치아 내부가
약해지거나 과거에 금이 갔던
치아는 외부 힘에 약하기 때문에
약한 음식에도 파절될 수 있습니다.
[수복물의 영향]
– 이미 충치 치료 등으로
보강된 치아(세라믹, 금속 보철물)는
자연치만큼 강하지 않아
작은 힘에도 파절될 수 있습니다.
[이갈이 및 이악물기 습관]
– 자는 동안 이를 갈거나
스트레스로 이를 강하게 악무는
습관이 반복되면 치아에
미세한 균열이 생겨 약한 자극에도
이가 깨질 수 있습니다.
[마모 및 노화]
– 나이가 들수록 치아는
마모되어 약해지며
잇몸뼈도 감소해
이가 쉽게 깨질 수 있는 상태가 됩니다.
[편측 저작 습관]
– 반복적으로 특정 치아에만
무리를 주는 습관 역시
균열이나 파절을 유발할 수 있습니다.
결국 이가 약해진 상태에서는
딱딱하지 않은 음식에도
이가 부러지는 일이 생깁니다.
평소 치아 관리와 함께
이상 신호(시큰거림, 찌릿함, 미세한 금)가
느껴질 때는 바로 구강 검진을
받는 것이 중요합니다.
오늘 소개해 드릴 내용은
치수침범이 없는 치아 파절 케이스를
통해 레진 코어 제작의 중요성과
지르코니아 크라운 치료에 대해
설명해 드리도록 하겠습니다.
광화문치과
검진

2025.05.12
구강 내 모습을 보면
왼쪽 위 첫번째 큰 어금니(26번)이
치수침범이 없는 치아 파절이 확인됩니다.
치수침범이 없다는 것은
신경이 노출되지 않은 상태로
감염 위험이 적고 보존적 치료가
가능하다는 의미입니다.
다만 파절 마진이
치은 연하(잇몸선 아래)까지 이어져 있어
단순 수복만으로는
마진 관리나 장기적 예후 확보가
어려운 상황으로 보입니다.

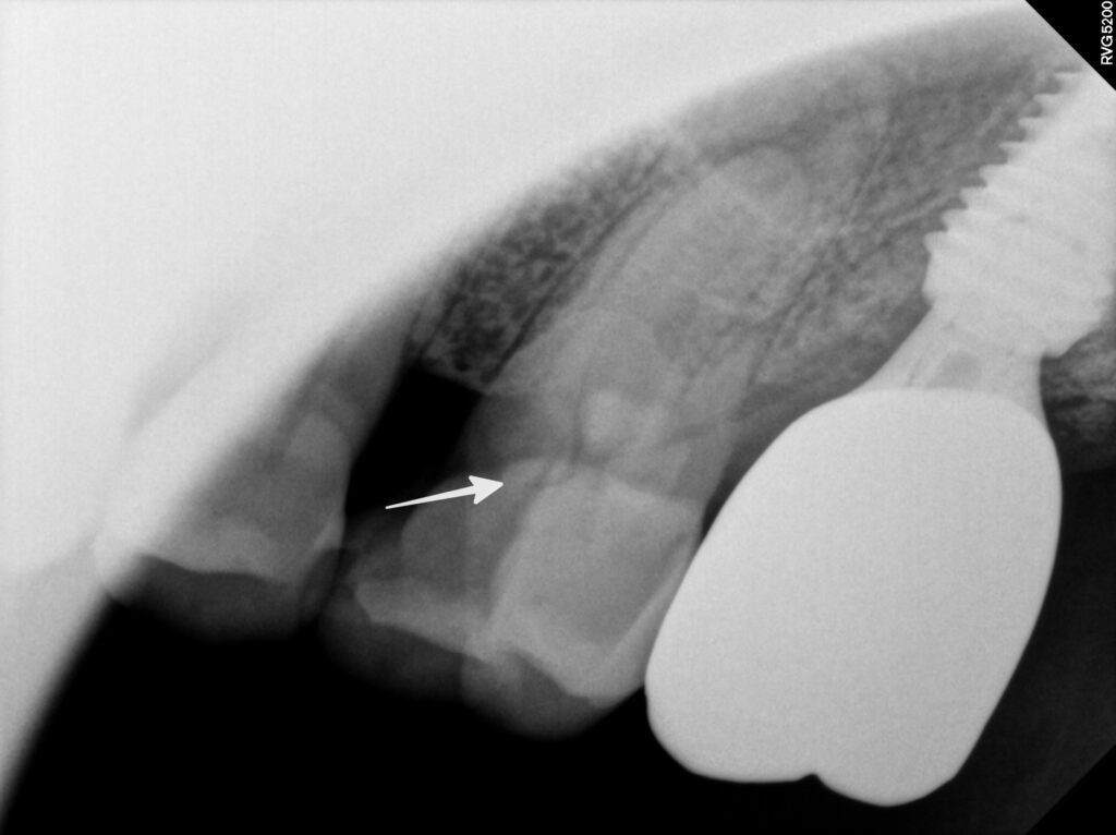
2025.05.12
X-ray 검사를 통해
파절 범위와 치아 뿌리의 상태를
면밀히 살펴본 결과
신경치료가 필요한 상태로 판단됩니다.
계획
이런 케이스에서 중요한 점은
치료 순서를 올바르게 설정하는 겁니다.
일반적으로는 근관치료를 먼저 하고
코어를 제작하는 경우가 많지만,
예시 사진과 같은 케이스에서는
레진 코어를 먼저 제작하는 것이 좋습니다.
그 이유는
이가 깨진 직후의 표면은
타액이나 음식물 등으로
오염되기 전이므로
접착제를 사용해 레진 코어를
재형성할 때 강력한 결합력을
얻을 수 있기 때문입니다.
따라서 광화문치과 에서는
근관치료 전 치아 머리의 코어 증강을
우선 시행하여 파절 부위를 봉합하고
이후 근관치료 및 최종 보철을
진행하는 것이 임상적으로 권해 드립니다.
코어 보강을 먼저 시행하면
파절 부위를 안정화시켜
근관치료 중 이가 더 부서지는 것을
예방할 수 있습니다.
광화문치과
과정
먼저 파절된 치면을
깨끗하게 정리한 후
접착제를 적용합니다.
깨진 지 얼마 되지 않은
치면은 오염되지 않은 치아로 보이며
접착 강도를 강하게 얻을 수 있습니다.

레진 코어 재료를 사용하여
파절된 부위를 재형성하고
치아의 기본 형태를 회복시킵니다.
이 과정에서 파절 마진이
치은 연하에 있어도
레진 코어로 치관부를
재건할 수 있습니다.

2025.05.12
코어가 완전히 경화된 후
신경치료를 진행합니다.

러버댐 착용 예시 사진
우선 코어 제작으로
러버댐을 활용하여 외부 오염을 차단한 후
신경치료를 실시하면
감염 위험도 줄어듭니다.
감염된 조직을 제거하고
근관을 확대한 후
소독액으로 깨끗하게 세척합니다.

2025.05.12
여러 차례의 소독 과정을 거쳐
세균을 완전히 제거한 후
근관 충전재로 빈 공간을 채워
세균의 재침입을 방지합니다.

2025.05.30
근관치료가 완료된 후에는
지르코니아 크라운으로
최종 수복을 진행합니다.
지르코니아는 강도가 높은 재료로
재파절 위험을 줄이고
수복물을 장기적으로
유지할 수 있습니다.

2025.05.30
이때 페룰 효과를 위해
잇몸 위로 최소 1.5~2mm 이상의
코어나 치질이 노출되게 하여
크라운을 씌워야 파절 방지 효과와
접착 안정성을 모두 얻을 수 있습니다.
광화문치과
완료

2025.08.02
치료 완료 후에는
일정 기간의 경과 관찰이 필요합니다.
통증이나 불편감이 사라지는지
저작 시 문제가 없는지
확인해야 됩니다.
특히 파절 마진이
치은 연하에 있었던 경우
마진부의 상태를 지속적으로
관찰하는 것이 중요합니다.
치수침범 없는 치아 파절은
알맞은 치료 순서와 방법을 통해
자연치를 보존할 수 있습니다.
특히 파절된 치아 표면이
오염되기 전에 레진 코어를
제작하는 것이 중요한데요.
깨진 치아를 방치하면
오염이 진행되어 접착 강도가
떨어질 수 있으므로
가능한 한 빠른 시일 내에
치료받는 것이 좋습니다.
이 글을 읽고 계신 분들께서는
치아에 이상 신호가 느껴질 때
조기에 가까운 의료기관에서 구강 검진을 받으시어
적절한 치료를 받으실 수 있기를 바랍니다.
광화문치과 의사 김반석이었습니다.
긴 글 읽어주셔서 감사합니다.


