광화문치과 깊게 패인 치경부 레진 수복
안녕하세요.
광화문치과 반석치과 보존과치과
김반석 원장입니다.
어느 날 치아와 잇몸이 닿는 부위의
치아 조각이 떨어져 나왔다?
이러한 증상을 치경부마모증이라고 하는데요.
치아와 잇몸이 만나는 부위를 치경부라고 하는데
여러 가지 외부적 요인으로 인해
이 부분이 닳을 수 있습니다.
오늘 소개해 드릴 내용은 심하게 패인
치경부를 레진으로 수복하신 것을
사진을 보며 설명해 드리려고 합니다.

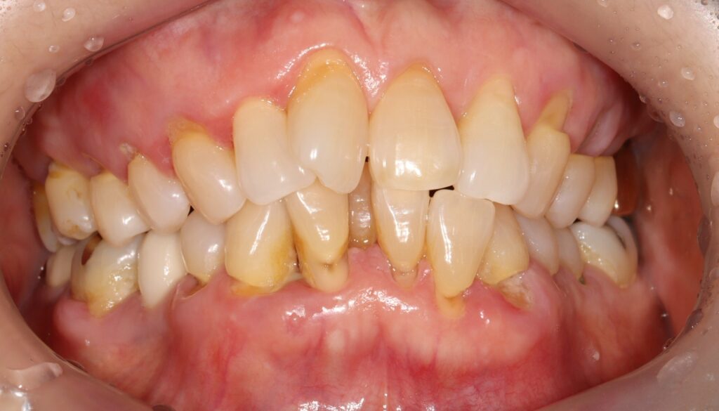
환자분께서는 70대 여성분으로
치아의 신경이 노출될 정도로 심하게
치경부가 패여 있는 상황이었는데요.
치경부마모증으로 인해
이가 시린이유는 상아질이 노출되었기
때문으로 상아질에는 미세한 관이 있어서
외부 자극에 매우 예민합니다.
치경부가 마모되면서 치아 조각이 떨어져 나가고
상아질이 노출되어 찬물, 바람 등에도
치아 시림을 느끼게 되는 것인데요.


위쪽 작은 어금니 두개는 신경관이 보일 정도였지만
현재 증상이 없다고 하셔서 치수 복조 후 레진,
아래 송곳니는 신경치료 후 레진으로
수복할 수 있도록 계획하였습니다.
치경부 마모증 초기에는 통증이 거의 없어
자각이 어렵지만 마모가 진행되면
찬물·뜨거운 음식에 대한 과민반응(시림)이 뚜렷해지고,
치아 목 부위가 U자형 또는 V자형으로 패인 형태를
보이며 칫솔질 시 통증과 치아 색 변화가 동반됩니다.
심한 경우에는 치아 신경(치수)까지 노출돼
일상생활이 불가능할 정도의 통증을 호소하기도 합니다.

접착력과 마진 형성을 위해 잇몸에 실을 넣어
치은 압배를 진행한 모습인데요.
– 치경부 레진 주요 포인트
1. 치아면을 다듬어서 접착에 유리한 형태로 변화 시킴
2. 접착력을 높히기 위해 치은압배 후 수복
3. 시린 증상을 덜 유발하는 SE bond를 이용해서 접착력을 극대화
4. ** 플로우 레진과 패커플레진을 적절히 레이어링
5. 잇몸을 덮지 않도록 마진을 형성

치경부 수복 치료를 마친 모습입니다.
이가 시린이유를 알면서도 방치하는 것은
매우 좋지 않은 행동으로 치경부마모증 치료를
늦출수록 마모된 부위가 커지고
잇몸 내려앉음 증상이 심하게 보일 수 있습니다.
심미성이 결여되는 것은 물론이며
이시림 증상으로 인해 일상생활이 어려워질 수 있으므로
최대한 빨리 광화문치과에 내원해야 합니다.
치료 후 얼음, 견과류 등의 딱딱한 음식이나
육포와 같은 질긴 음식은 피하는 것이 좋고
부드러운 칫솔로 하루 2~3회 양치하고,
플라그가 쌓이지 않도록 관리해야 합니다.
치경부 마모증 초기엔 간단한 약재도포만으로
증상이 개선될 수 있으나 오래 방치하면
때우는 치료를 넘어 잇몸이식이 필요할 수도 있어
1년에 1회 건강보험 스케일링이 가능하므로
정기적으로 내원하여 스케일링을 진행하고
레진이 제대로 붙어있는지,
추가적인 마모 가능성은 없는지 확인하면
5년 이상 장기적으로 사용할 수 있으니
잇몸이 시린 증상이 나타나면 오래 방치하시지 말고
광화문치과에 내원하셔서 검사를 받아보길 바랍니다.
긴 글 읽어주셔서 감사합니다!
*모든 증례 사진은 의료법 제23조, 제 56조에 의거하여 환자분의 동의 하에 업로드가 진행되었습니다.
*치료 사진은 모두 본원에서 치료한 환자분의 사진입니다.
*치료 사진은 모두 동일인의 사진이며, 동일조건에서 촬영하였습니다.
*개인의 차이에 따라 시술 및 수술 후 부작용이 발생할 수 있으며, 의료진과 충분한 상담을 받으시기 바랍니다.
광화문치과 딱딱하지 않은 음식에도 이가 깨지는 이유와 치아 파절 치료법, 레진 코어부터 지르코니아 크라운 까지