자연치아살리기 앞니 지르코니아 크라운
안녕하세요!
자연치아살리기에 진심인
반석치과의 김반석 원장입니다.
앞니는 웃음을 결정짓는 심미적 핵심이자
발음과 기능에도 큰 영향을 미치는
중요한 부위이지만 시간이 흐르면서
기존 보철물이 변색되거나
경계 부위에 충치가 발생하고,
잇몸이 내려가 검은 라인이 드러나는 등
다양한 문제가 나타날 수 있습니다.
이러한 경우 자연스럽고 기능적인 회복을 위해
진행하는 자연치아살리기 앞니 재보철 치료가 필요한데
해당 치료는 정밀한 술기와 풍부한 임상 경험이
요구되는 고난도 치료로 꼽힙니다.
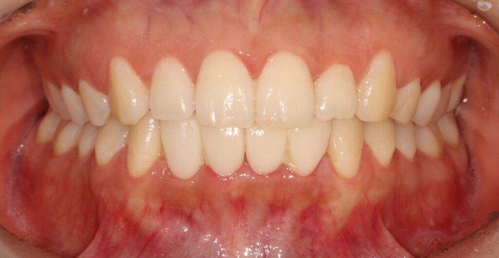
오늘은 아래 앞니 보철 치료 후
극심한 통증으로 인해 보철물을 제거하고
신경치료 후 재크라운으로 자연치아살리기를
진행하신 환자분을 소개해 드리려고 합니다.

환자분께서는 아래 앞니 보철 후 갑자기
극심한 통증으로 인해 내원해 주셨습니다.
급성 치수염으로 인해 기존 보철물을 제거하고
신경치료가 필요한 상황이었는데요.
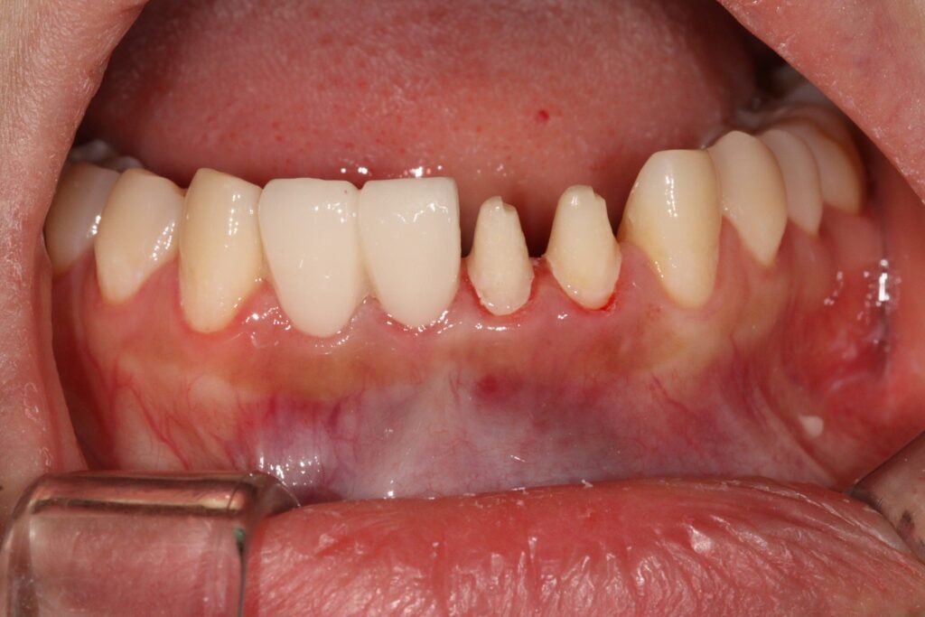
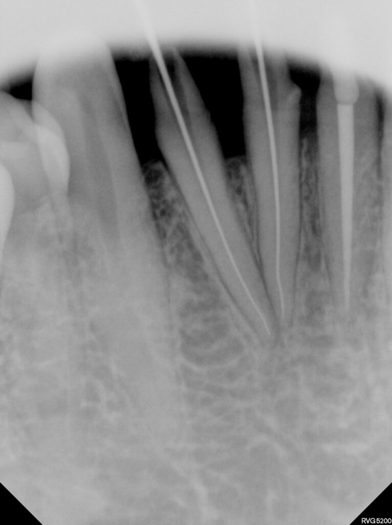
4개의 치아 중 문제가 있는 치아를 감별하기 위해
러버댐으로 치아를 격리하고 ICE / Hot test 시행하여
감별진단하였습니다.

처음 내원 시 마취도 잘 되지 않을 정도의
심한 치수염 상태였으나 신경치료를 한번
진행하고 난 후에는 통상적인 과정으로
진행할 수 있었습니다.

기존 보철물의 경우 두개씩 치아를 연결해
치아 사이사이 관리가 잘 되지 않아
잇몸 반응도 좋지 않아 붉은 염증이 계속되고
있는 점도 확인하였는데요.
모든 크라운을 제거해보니 이전 치과에서
너무 치아삭제를 많이 해서 치수염이 발생했던 것으로
판단되었습니다.

환자분은 처음 치료 당시 약간 시린 정도였는데
크라운 치료를 권장받아 진행하였다고 말씀을 하셨고
저희 치과에서 치료를 받으신 후에는 통증이 말끔히
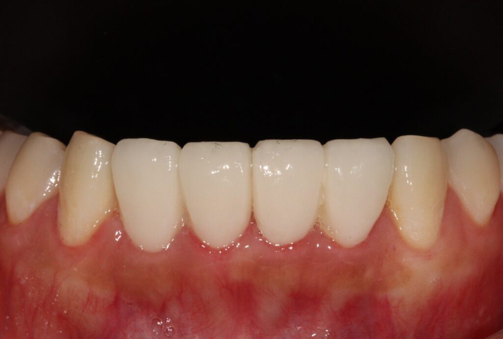
사라지셔서 최종 크라운을 문제 없이 진행하였습니다.

처음 치료 당시 크라운을 진행할 치아가
아니었을 텐데 라는 생각이 안타까웠지만
이를 해결해내기 위해 결국 4개 치아
모두 신경치료 후 크라운을 싱글로 제작하였습니다.
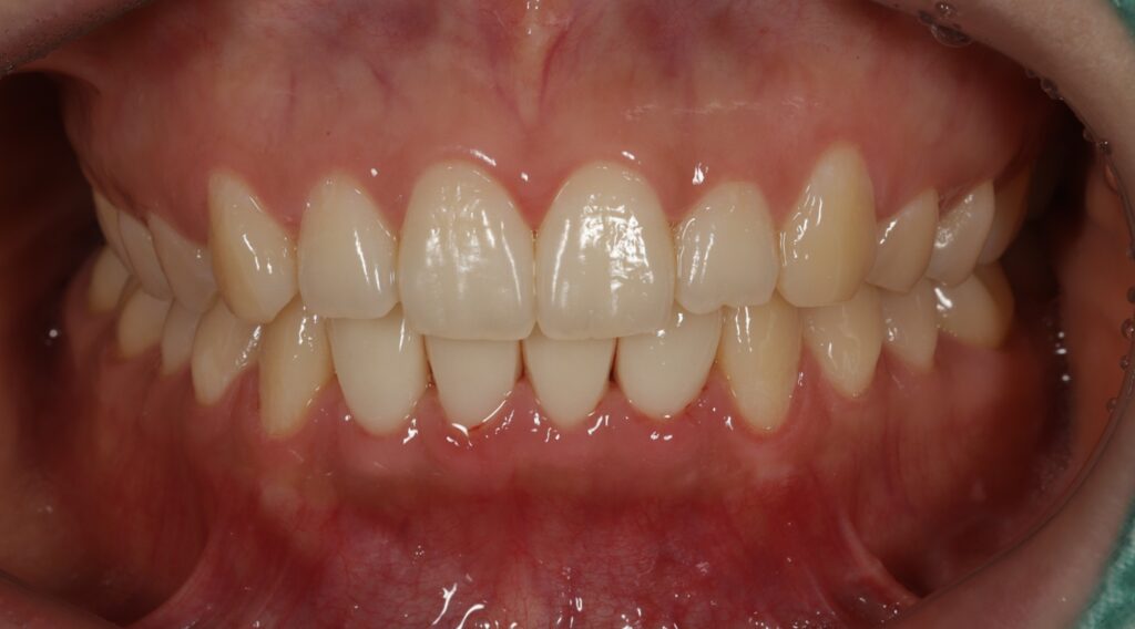
잇몸치료 후 회복시간을 두고 PMMA 프로비저널 크라운으로
환자분의 심미적 요구도를 확인해서
최종보철에 반영하였는데요.
빠르게 문제 없이 최종 보철까지 마무리 되어
환자분께서도 매우 만족하셨습니다.

보통 앞니나 작은 어금니처럼
근관이 단일한 치아는 1~2회 내로
치료가 끝나지만 어금니처럼 근관이 여러 개이거나
염증이 깊은 경우에는 여러 차례 내원이 필요합니다.
치료 중 통증이 동반될 수 있는데
이는 염증이 제거되는 과정에서 일시적으로
신경 자극이 발생하기 때문에
치료 중에는 치아가 약해져 깨질 위험이 있으므로
단단한 음식을 피해야 하며,
치료가 완료된 후에는 크라운(보철물)을
씌워 치아를 보호하는 것이 일반적입니다.
신경치료의 목표는 자연치아살리기로
삶의 질을 유지하는 것이므로
조기에 정밀한 진단과 체계적인 치료를 받는다면
손상된 치아라도 충분히 되살릴 수 있습니다.
따라서 치통이나 시린 증상이 지속된다면
지체하지 말고 경험과 노하우가 풍부한
반석치과 전문의를 찾아
치료를 받는 것이 무엇보다 중요합니다.
감사합니다!
*모든 증례 사진은 의료법 제23조, 제 56조에 의거하여 환자분의 동의 하에 업로드가 진행되었습니다.
*치료 사진은 모두 본원에서 치료한 환자분의 사진입니다.
*치료 사진은 모두 동일인의 사진이며, 동일조건에서 촬영하였습니다.
*개인의 차이에 따라 시술 및 수술 후 부작용이 발생할 수 있으며, 의료진과 충분한 상담을 받으시기 바랍니다.
광화문치과 자연치 를 살리기 위한 마지막 방법 재신경치료 후 치아재식술 치료 과정