자연치아살리기 뿌리만 남은 치아를 살려달라시니.. 한번 해보겠습니다
안녕하세요.
자연치아살리기 치과보존과 전문의 김반석입니다
치아가 상실되는 대표적인 세 가지 경우
임상에서 환자의 치아를 살릴 수 있을지,
아니면 발치를 고려해야 할지를 판단할 때
보통 다음 세 가지 상황 중 어디에 해당하는지를
먼저 확인하게 됩니다.
심한 치주질환으로 인한 치조골 상실
잇몸뼈가 무너지면서 치아를 지탱하지 못하는 경우
치아 파절 또는 광범위한 파괴
치아가 깊게 부러지거나 씹는 힘을
버틸 구조가 무너진 경우
잔존 치질 부족
크라운 등을 지지할 최소한의 치질조차
남아 있지 않아 보존적 치료가 어려운 경우
이 세가지에 해당한다면
발치로 이어지는 것을 거스르기는 어렵습니다
그런데 오늘은
이런 경우라하더라도 어떤 치료를 해볼지
저조차도 장담할 수 없는 사례를 보여드릴게요

오른쪽 치아의 크라운 탈락으로 오신분인데요
자세히 보시면 아래 어금니가 살짝 보이실 거예요
원래는 금니가 있으셨는데
오래돼서 크라운이 빠져버렸다고 하셨어요
임플란트를 안하고 치아를 살리는 방법을 찾아
저에게 오시게 되었네요

위에서 봤을 때 치아 내부가 까맣게 변해있죠
안에 분홍색은 옛날 치료했던 재료이구요
15년 정도 됐다고 하니..
저 분홍이도 그렇게나 오래되었겠죠
(치아 내부가 이렇게 오염된 경우
문제가 발생하기 쉽고
인식하지 못할 뿐이지 여러분의 치아도..)

엑스레이 상에서도..
치아 뿌리가 너무 짧고
이차 충치도 있고
심지어 크라운을 만들어 낼 페룰 확보도
어려울 것 같습니다..
저도 잘 설득해서 임플란트를 고려해보시라고
말씀드리려고 했지만
환자분의 살리고자하는 의지가 강하시고
아직은 젊은 나이이시고 해서
방법을 찾아보기로 했습니다

오히려 이런경우 치아 뿌리 끝 염증이 없고
더이상 근관을 뚫고 들어가기 어렵기 때문에
이쯤에서 근관 충전을 하기로 합니다

다행히 근관 하나 정도는
길이 확보가 되어서 끝까지 마무리할 수 있었어요
나머지는 되는데까지만 충전합니다

중요한 코어단계인데요
크라운을 유지해줄만한 버팀목이 없기 때문에
포스트를 이용한 레진코어를 만들었어요

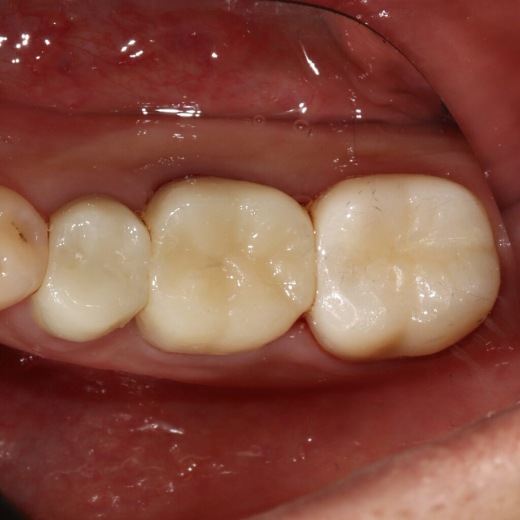
최종적으로 지르코니아 크라운으로 씌워서
치료를 마무리 하였습니다
저는 포기하려고 했지만
환자분의 의지로 자연치아살리기 마무리까지
올 수 있었던 사례입니다
그렇기 때문에 제가 쉽게 환자분들의
치아를 빼야한다고 말씀드리지 못하고 있어요
내 치아를 아끼는 마음을 지켜드리는
자연치아살리기 반석원장이 되려고 합니다
다음에 만나요~
*모든 증례 사진은 의료법 제23조, 제 56조에 의거하여 환자분의 동의 하에 업로드가 진행되었습니다.
*치료 사진은 모두 본원에서 치료한 환자분의 사진입니다.
*치료 사진은 모두 동일인의 사진이며, 동일조건에서 촬영하였습니다.
*개인의 차이에 따라 시술 및 수술 후 부작용이 발생할 수 있으며, 의료진과 충분한 상담을 받으시기 바랍니다.
