광화문치과 치아가 부러졌어요

광화문치과

안녕하세요.

치아지킴이 치과의사 김반석입니다.

오늘 포스팅은 치아가 부러진채

내원하여 치료를 진행한

케이스를 소개해 드리려고 합니다.

“원장님, 이 치아… 임플란트 안 하고 어떻게든 살려보고 싶습니다.”

 

환자분께서 보존과전문의인 저를 찾아오신

가장 큰 이유였습니다.

 

약 15년전에 치료받은 치아가

부러진건데요

 

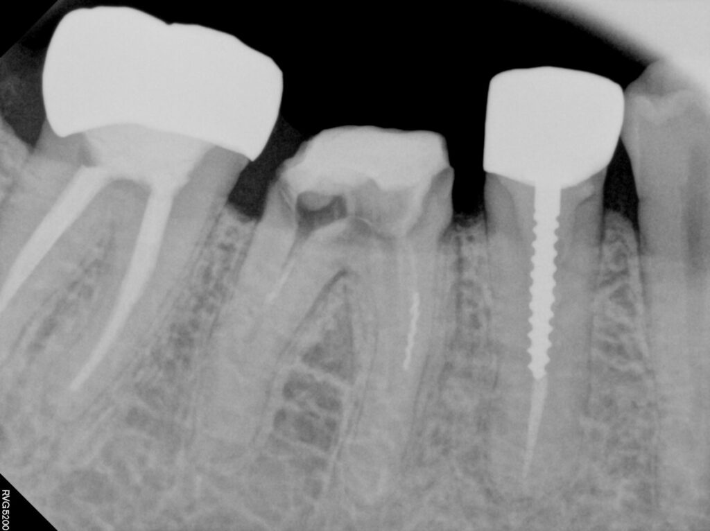
25.05 최oo님

25.05 최oo님

 

구강안을 살펴보니 치아의 머리에 해당하는

크라운 부분이 전부 없는 상태였습니다.

우선 이 치아를 살릴 수 있는지

여부부터 파악해야 했는데요.

이렇게 파절로 내원하신 케이스에서

치아를 살리느냐 못 살리느냐 여부를 가르는

결정적인 조건이 있습니다.

파절 라인이 잇몸 아래 깊숙한

뿌리(치근) 부분까지 이어져 있느냐 입니다.

이 환자분의 경우

남아있는 치질량만 봤을 때는 발치가능성을

배제할 수는 없었습니다.

그래서 광화문치과에서는

솔직하게 이야기 드렸습니다.

치아를 살리기 매우 어려운 상태이며,

재신경치료등 복잡한 과정을 거치더라도

예후가 좋지 않으면 결국

발치해야 할 수도 있다고 말입니다.

환자분께서도

“해보는데까지 해보고 안되면 발치하겠다”고

동의해 주셨고.

환자분의 강력한 의지와

치과보존과 전문의로서의 제 경험을 믿고,

이 어려운 치아 살리기에 도전하기로 했습니다.

재 신경치료 시작

 

기존에 신경치료 되어있던

모든 재료를 제거하고

재재신경치료를 시작하였습니다.

 

신경치료시 감염으로부터 보호하기 위해

러버댐이라는 재료를 사용하는데

남아있는 치질량이 부족하다보니

러버댐의 유지력이 나오지 않더라구요.

그래서 레진을 이용하여

치아의 형태를 일부 복원해 주는

코어작업을 하였습니다.

 

코어는 신경치료의 결과를

좌우할 수도 있는 중요한 요소입니다.

이 환자분은 재신경치료였기에

성공율이 낮았고

이에 코어 작업에 신경을 많이 썼습니다.

코어 작업 후 신경치료는

수월하게 진행되었구요.

부족한 치질량을 확보하기 위해

잇몸을 열고(판막 거상)

잇몸뼈를 조심스럽게 약간 삭제한 뒤 ,

잇몸 속에 숨어있던 건강한 치아 부분을

잇몸 밖으로 노출시키는 치관확장술을

시행하였습니다.

치질량이 부족한 상태에서

크라운을 억지로 씌우면

  1. 크라운이 잇몸을 계속 자극해 만성 염증을 유발합니다.

  2. 크라운과 치아 사이에 틈이 생겨 세균이 다시 침투하고 2차 충치가 생깁니다.

  3. 치아를 꽉 잡아주는 ‘테두리(페룰)’가 없어 힘을 받으면 크라운이 쉽게 탈락하거나 남은 치아 뿌리가 다시 부러집니다.

 

신경치료 및 코어작업까지

깔끔하게 마무리 된 상태입니다.

이후 크라운까지 모두

잘 마무리가 되어

저희의 바램대로

발치없이 치아를 살렸습니다.

지르코니아 크라운까지 세팅된

치료 후 모습입니다.

 


쉽지 않지만 가치있는 길, 치아보존

 

15년 전 치료받은 치아의 파절 ,

재신경치료 중 만난 난관,

그리고 치관확장술이라는 잇몸 수술 까지.

이 모든 과정을 거쳐 환자분은

임플란트 대신 자신의 소중한 자연치아를

지켜내셨습니다.

만약 환자분께서 처음부터

“그냥 뽑아주세요”라고 하셨거나,

제가 “살리기 어렵습니다”라고

쉽게 포기했다면

이 치아는 이미 사라졌을 것입니다.

이번은 정말 쉽지 않았습니다.

하지만 광화문치과에서는 살려내었고

그 가치는 금액으로 환산할 수

없다고 생각합니다.

저런 상황에서 발치가 틀린 진단이라고

할 수는 없습니다.

다만, 아직 기회가 있다면

살려야 한다는 게

보존과전문의로서의 제 소신입니다.

‘생존 가능한 치아를 적절히 치료하여

오래도록 유지할 수 있도록 하는 것’

광화문치과의 첫 번째 원칙입니다.

혹시 지금 다른 곳에서

발치 판정을 받으셨나요?

임플란트가 유일한 방법이라는 말을 듣고

낙담하고 계시진 않으신가요?

소중한 자연치를 포기하기 전,

치과보존과 전문의 반석원장과

다시 한번 상담해 보시기 바랍니다.

당신의 치아를 지킬 수 있는

마지막 기회가 될 수도 있습니다.

긴 글 읽어주셔서 감사합니다.

 

*모든 증례 사진은 의료법 제23조, 제 56조에 의거하여 환자분의 동의 하에 업로드가 진행되었습니다.
*치료 사진은 모두 본원에서 치료한 환자분의 사진입니다.
*치료 사진은 모두 동일인의 사진이며, 동일조건에서 촬영하였습니다.
*개인의 차이에 따라 시술 및 수술 후 부작용이 발생할 수 있으며, 의료진과 충분한 상담을 받으시기 바랍니다.

 

 

반석치과보존과치과 바로가기

문의 전화

02-776-2080

네이버 예약

네이버 예약