광화문치과 “앞니가 조금 깨졌는데, 꼭 크라운(씌우는 치료)까지 해야 하나요?”광화문치과

안녕하세요.

치과보존과 전문의 광화문치과

반석원장입니다

 

오늘은 치아를 보존하면서 심미적인 치료방법인

레진 빌드업 치료를 소개해드리려고 해요

 

앞니가 깨졌다면 무조건 크라운?

삭제 없이 심미적으로! LaminaFit 레진 빌드업 케이스

 

 

“앞니가 조금 깨졌는데, 꼭 크라운(씌우는 치료)까지 해야 하나요?”

 

이런 고민을 가진 분들이 종종 찾아오십니다.

그냥 조금 깨졌을 뿐인데

나머지 치아를 전부 깍아야만 한다면

치아의 손실이 너무 많겠죠..

이럴 때 레진을 사용하면 치아를 삭제하지 않고

치아의 원래 형태를 회복할 수 있습니다

(아.. 약간의 다듬기가 필요하기는 합니다

그 이유는 아래에서 설명드릴게요!!)

레진 빌드업

크라운 치료

❌ 치아 삭제 없음

✅ 삭제 필요

✅ 빠른 치료 (1회 내원 가능)

❌ 보철 제작 기간 필요

✅ 비용 부담 적음

(30-50만원)

❌ 상대적으로 고비용 (60-70만원)

✅ 원래 치아 유지 가능

❌ 신경치료로 이어질 수도

레진치료가 저렴하기 때문에 하급진료라고

생각하는 치과의사와 환자분들이 있지만

레진치료를 잘하는 것이 어렵고

시간과 노력이 많이 들어가기 때문에

크라운치료를 선호하는 경향이 있습니다

레진치료는 치과의사의 숙련된 손기술과

심미적인 감각이 가장 중요한 요소이고

크라운의 경우 치과의사의 능력과 치기공사의

협력에 의해서 결과물이 의존적입니다


 

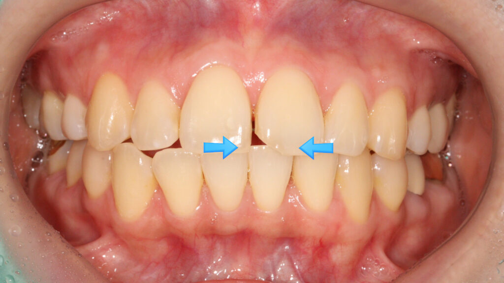
“자고 일어났더니 앞니 레진이 떨어져 있었어요.”

이렇게 걱정 가득한 얼굴로

점심시간을 이용해서 내원하셨습니다.

20여 년 전, 앞니를 레진으로 수복한 적이 있었는데

아침에 거울을 보니 레진이 온데 간데 없이 사라진 것을 확인하셨다고 합니다.

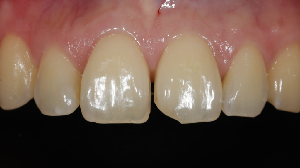
진료 중 관찰된 상태는 다음과 같았습니다

 

 

상악 좌측 중절치 모서리가 깨졌네요

교정치료 후 앞니사이가 벌어진 것도 보입니다

#21 mesial edge Class IV 형태의 파절

치아 사이가 벌어진 diastema가 함께 존재

과거 수복물은 시간이 지나면서

접착력이 약해지고,

자연치와 경계도 모호해지며

결국 저절로 떨어진 것으로 보입니다.

여기서 잠깐!!

앞서 말씀드린 치아를 약간 다듬어야 하는

이유를 설명드리겠습니다

레진는 치아에 접착(bonding)이라는 원리로

형태를 유지할 수 있는데,

1.

접착면을 넓혀 유지력을 최대화하고

치면의 거칠기 증가를 통한 접착력 증가

2.

자연스러운 치아의 색상과 연결하기 위해서는

사면(Bevel)이라고 부르는 경사면이 필요해요

이것이 심미 레진치료에서 정말정말

중요한 부분이랍니다

 

 

✅ 반석치과의 선택: LaminaFit 레진 빌드업

우리는 이런 경우,

반석치과의 보존 중심 심미 치료 솔루션

– LaminaFit을 제안합니다.

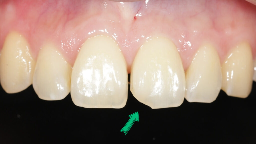
🔹 파절 부위만 정밀하게 레진으로 빌드업

🔹 치아 사이 벌어진 공간도 함께 디자인하여 조화로운 형태 회복

🔹 다양한 색상과 투명도를 가진 전치부 전용 레진을 사용하여 색상 조화와 투명도 구현

🔹 추후 파절 가능성도 고려한 교합 조정 및 폴리싱

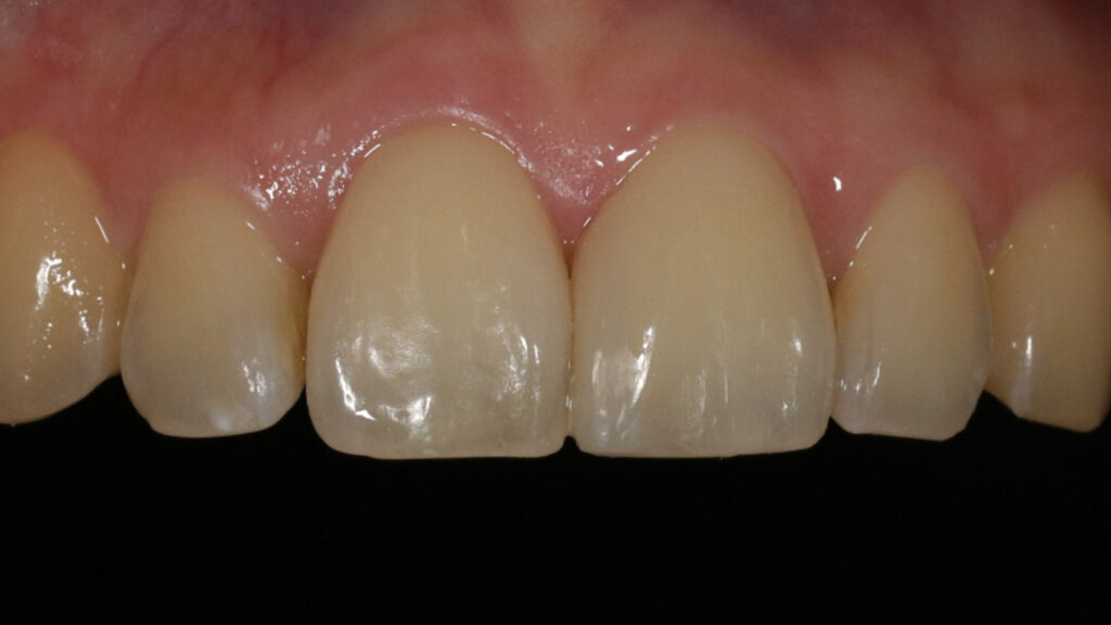
깨진 치아부위는 물론,

앞니 사이 공간까지 자연스럽게 회복되었습니다

환자분께서 거울을 보시고

“원래 내치아 같아요!”라고 하시고

이전 레진보다 훨씬 자연스럽다고 평해주셨어요

여기에는 저만의 연구에 따라

다양한 브랜드의 제품들을 비교해보고

최선의 결과를 얻기위해

수십가지의 레진을 보유하고 있기 때문에

보다 만족으런 결과를 드릴 수 있었다고 생각됩니다

크라운 치료가 꼭 정답은 아닙니다.

치아를 지키는 치료,

그게 저희 광화문치과 반석치과보존과의 철학입니다.

 

앞니 레진치료,

단순한 수복이 아니라 심미와 보존을 함께 고려한

LaminaFit 솔루션으로 만나보세요.

🦷 치아가 깨졌다면,

말고 광화문치과에서 상담 받아보세요.

🦷 치아 삭제 없이 가능한 방법이 있는지,

함께 고민하겠습니다.

 

*모든 증례 사진은 의료법 제23조, 제 56조에 의거하여 환자분의 동의 하에 업로드가 진행되었습니다.
*치료 사진은 모두 본원에서 치료한 환자분의 사진입니다.
*치료 사진은 모두 동일인의 사진이며, 동일조건에서 촬영하였습니다.
*개인의 차이에 따라 시술 및 수술 후 부작용이 발생할 수 있으며, 의료진과 충분한 상담을 받으시기 바랍니다.

 

 

 

반석치과보존과치과 바로가기

문의 전화

02-776-2080

네이버 예약

네이버 예약