광화문치과 구치부 레진 빌드업
안녕하세요!
광화문치과 반석치과보존과치과의
김반석 원장입니다.
치아는 일상적인 저작 기능을 담당하는
중요한 구조물로 특히 구치부는 강한 교합력을
지속적으로 받는 부위입니다.
이러한 구치부 치아는 충치나 파절,
기존 수복물의 탈락 등 다양한 원인으로
손상이 발생할 수 있으며,
손상 범위가 클 경우 단순 충전만으로
기능 회복이 어려운 상황도 적지 않습니다.
이때 치아의 형태와 기능을
회복하기 위해 시행되는 치료 중 하나가
바로 레진 빌드업입니다.
레진 빌드업은 손실된 치질을 보강하고
이후 보철 치료의 기초를 형성하는 과정으로
치아의 높이와 형태를 적절히 재현하는 것이 중요합니다.
특히 구치부의 경우 교합 관계를 고려한
정밀한 수복이 필요하며,
이를 통해 저작 기능을 안정적으로
회복할 수 있습니다.
이번 증례에서는 구치부 치아의 손상으로 인해
레진 빌드업을 시행한 과정을 살펴보며,
치료 전 상태와 빌드업 과정,
그리고 회복된 결과를 중심으로
자세히 안내드리고자 합니다.

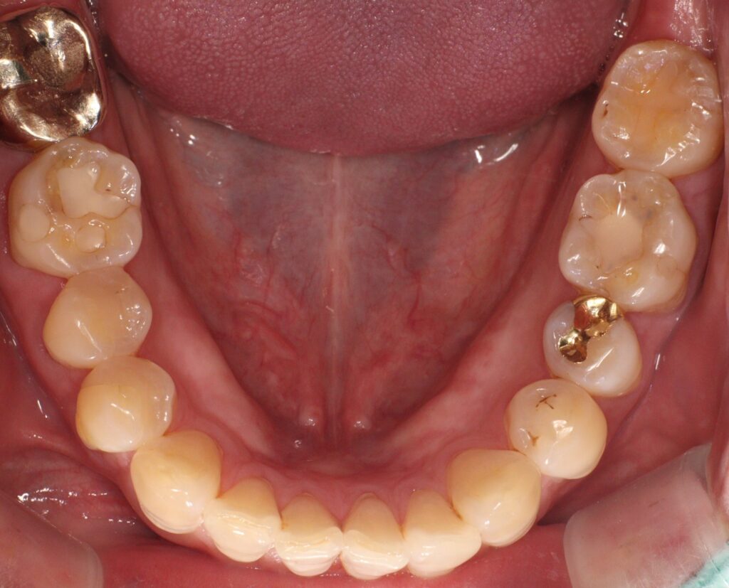
환자분께서는 아래쪽 어금니에 떼운 재료가
오래 되어 광화문치과에 내원해 주셨는데요.
치아의 결손부를 충전하는 방식은 다양합니다.
인레이, 크라운 처럼 간접 수복물을 선택할 수 있고
레진, 아말감 처럼 직접수복을 선택할 수 도 있는데요.
간접 수복물은 기공을 해야하기 때문에
불필요한 치아 삭제가 동반되는 것을 피할 수 없어
레진 빌드업은 필요한 부분만 레진을 쌓아 올려
새로운 치아를 만들어주는 방법을 말합니다.
간단한 레진 충전과의 차이는 치아의 외형을
정교하게 복원하는 것인데 테크닉이 까다롭고,
노력과 시간이 많이 들어 치과의 경영상
도움이 되지 못한 치료이지만
치아를 최소한의 삭제와 하이엔드 테크닉으로
치아를 직접 수복할 수 있습니다.

광화문치과의 레진빌드업은 치료 과정에서
높은 정밀도가 요구되는 치료 중
하나로 꼽힙니다.
손상된 부위를 정리한 뒤 접착 과정을 거쳐
복합레진을 여러 층으로 쌓아 올리며
치아 형태를 재구성하는 방식으로
진행되기 때문인데요.
이 과정에서는 치아의 교합 높이와
인접 치아와의 관계까지 고려해야 해
치아 구조에 대한 이해와 세밀한 조정이 필요합니다.

최근에는 복합 레진 재료의 접착력과
물성이 개선되면서 치아 복원 치료에서의
활용 범위도 점차 넓어지고 있는데요.
레진 재료는 치아 색과 유사하게 조정할 수 있어
심미적인 측면에서도 장점이 있으며,
치아 삭제 범위를 비교적 최소화할 수 있어
자연치 보존 측면에서도 의미가 있습니다.
다만 손상 범위가 매우 넓거나 강한 저작력이
지속적으로 가해지는 경우에는
다른 치료 방법을 함께 고려할 수 있어
정밀한 진단을 통한 치료 계획 수립이 중요합니다.

치아는 한 번 손상되면 자연적으로
원래 상태로 회복되기 어렵기 때문에
조기에 상태를 확인하고 적절한 치료를
받는 것이 중요한데요.
특히 충치나 파절을 장기간 방치할 경우
손상이 더 확대될 수 있어
정기적인 구강 검진을 통해 치아 상태를
확인하는 것이 바람직합니다.
광화문치과의 레진빌드업은
손상된 치아의 형태와 구조를 복합레진으로
재건하는 복원 치료로
치아 기능 회복에 도움을 줄 수 있는데요.
치아 손상 정도에 따라 적용 여부가
달라질 수 있기 때문에 정밀한 진단을 통해
적절한 치료 계획을 세우는 것이 중요합니다.
*모든 증례 사진은 의료법 제23조, 제 56조에 의거하여 환자분의 동의 하에 업로드가 진행되었습니다.
*치료 사진은 모두 본원에서 치료한 환자분의 사진입니다.
*치료 사진은 모두 동일인의 사진이며, 동일조건에서 촬영하였습니다.
*개인의 차이에 따라 시술 및 수술 후 부작용이 발생할 수 있으며, 의료진과 충분한 상담을 받으시기 바랍니다.