을지로치과 보도블럭 등에 부딪혀서 깨진 앞니, 치아 외상 후 바로 치료하지 않는 이유는?
안녕하세요,
을지로치과 반석 반석
김반석 원장입니다.
오늘 소개해 드릴 내용은
앞니 외상으로 인한 치아 파절 후
경과 관찰을 통해 레진 치료로
자연스럽게 회복한 치료 과정을
예시 사진을 보면서 설명해 드리려 합니다.
먼저,
치아 외상이 발생했을 때
즉시 치료하지 않고
경과 관찰을 하는 이유에 대해
간단히 설명해 드리자면
외상 직후에는 치수의 상태를
정확히 판단하기 어렵기 때문입니다.
시간이 지나면서 나타나는
치수의 반응을 확인한 후
적절한 치료 방법을
결정하는 것이 중요합니다.
예시 사진을 보면서
어떤 과정을 거쳐
자연스러운 모습으로 회복되는지
확인해 볼까요?
을지로치과
어떠한 경우에 생기고
어떤 통증이 있나요?

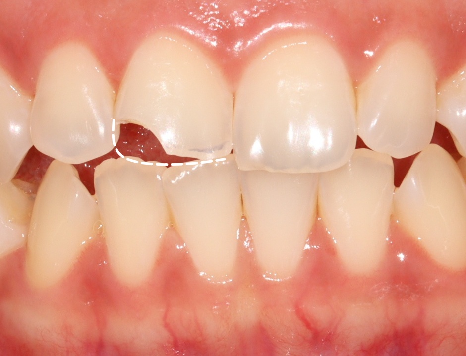
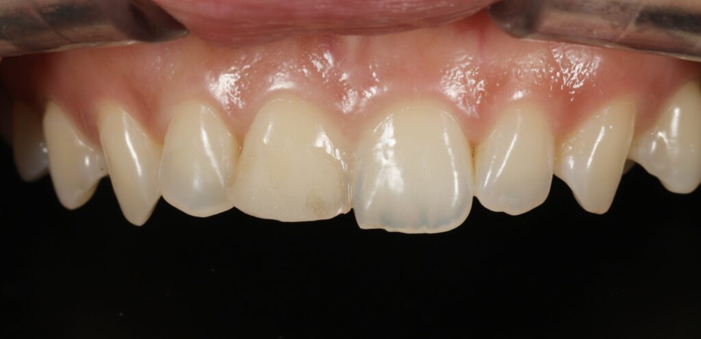
구강 내 모습을 확인해 보면
상악 중절치의 절단 부위가
약 1/3 정도 파절된 것을
관찰할 수 있는데요.
다행히 치수가 노출되지 않은
법랑질-상아질 파절로 확인됩니다.
대게 이러한 경우
초기에는 찬 음식이나
바람에 시린 증상이 나타났지만
심한 통증은 없을 수 있는데요.

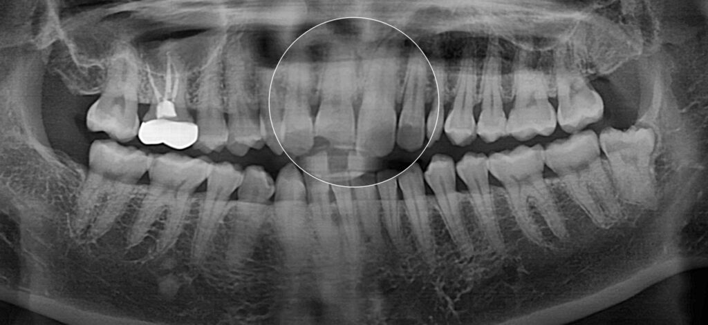
엑스레이 검사에서는
치근의 손상은 관찰되지 않고
주변 골조직도 정상 소견을
보이고 있습니다.
을지로치과
진단 과정은?

정밀한 검사를 통해
치수 침범이 없는 치아 파절로
진단할 수 있습니다.

치수 활력 검사에서는
정상적인 반응을 보였고
타진 검사에서도 특별한
불편감은 없는 상태일 수 있지만,
치아 외상 후에는
신경 손상, 감염, 치아 변색,
치근 흡수, 유착 등의 합병증이
장기적으로 나타날 수 있어
지속적인 경과 관찰이 필요합니다.
특히 외상 직후에는
증상이 나타나지 않더라도
시간이 지나면서 통증이나
변색 등의 이상 증상이
발생할 수 있기 때문입니다.
을지로치과
선행해야 되는 치료는?
치수 침범이 없는 파절의 경우
즉시 최종 치료를 시행하기보다는

임시 수복을 통해
노출된 상아질을 보호하고
경과를 관찰하는 것이 원칙입니다.
임시 수복재를 이용하여
시린 증상을 완화시키고
세균의 침입을 차단합니다.
이 과정에서 정기적인 검진을 통해
치수의 상태 변화를 모니터링하며
엑스레이 촬영과 치수 검사를 포함한
임상 검사로 치아와 주위 조직의
회복 상황을 종합적으로 평가합니다.
치아 신경이 드러나거나
신경치료가 필요하다고 판단되면
일주일 이내에 진료를 하는 것이
권고 사항입니다.
을지로치과
경과 관찰
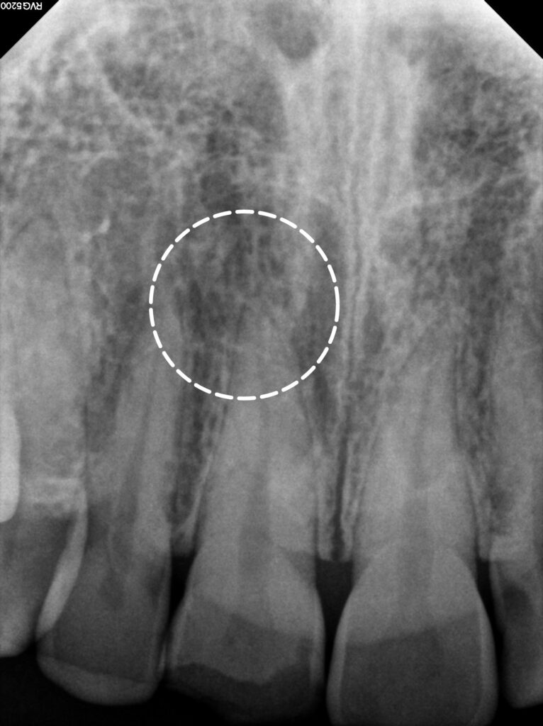
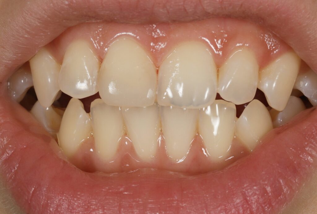
외상 후 3개월간의
경과 관찰 결과를 보았을 때
통증이나 불편감 없이
안정적인 상태를 유지하면서,
치수 활력 검사에서도
정상적인 반응을 지속적으로 보이고,
방사선 사진에서도
특별한 이상 소견은 없으면서
치아 변색이나 감각 이상,
치아 위치 이상 등의
합병증 징후도 관찰되지 않았을 때는
시린 증상도 점차 개선되어
생활에 지장이 없는
수준까지 회복되었다
평가 할 수 있습니다.
이러한 안정적인 경과를 바탕으로
레진 치료를 진행하기로
결정할 수 있습니다.
을지로치과
최종 방법,
레진 수복 치료

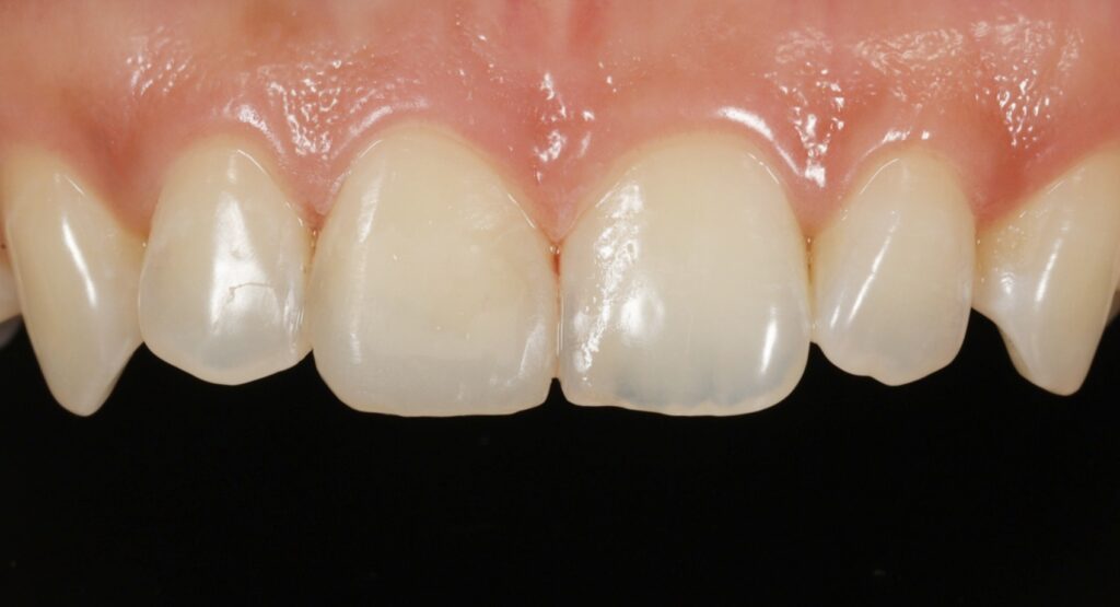
경과 관찰을 통해 치수가
건강한 상태로 확인되어
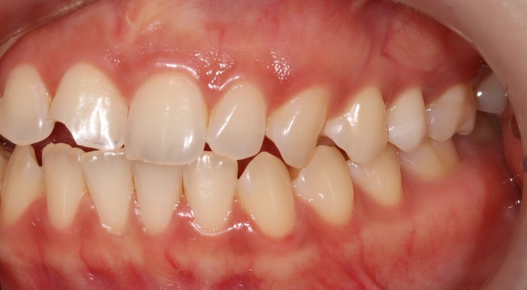
레진을 이용한 직접 수복으로
치료를 진행합니다.
레진 치료는 치아를 보존하면서
자연스러운 모습을 재현할 수 있는
장점이 있습니다.

특히 앞니의 경우
심미적인 부분이 중요하므로
절단 부위의 투명도를 재연하는 것이
치료의 핵심 포인트입니다.
여러 가지 색조의 레진을 층별로 쌓아
자연치와 유사한 투명감과
색상을 구현합니다.
이번 케이스에서 주목할 점은
외상 초기에 무리한 치료를 시행하지 않고
충분한 경과 관찰을 통해
치수의 상태를 정확히 파악한 후
적절한 시기에 치료를 진행했다는 겁니다.
만약 초기에 바로 치료를 시행했다면
치수 상태를 정확히 알 수 없어
불필요한 신경 치료를
받았을 가능성도 있습니다.
특히 어린이의 경우
유치 외상이 영구치의 맹출 위치나
형태에 영향을 미칠 수 있으므로
경과 관찰을 통한 조기 발견과
대응이 더욱 중요합니다.
치아 외상 후 경과 관찰은
치아 및 주위 조직의 급성 손상뿐 아니라
그 이후 발생할 수 있는
합병증 가능성을 조기에 파악하여
치료와 예방적 관리가
가능하도록 하는 중요한 과정입니다.
하지만 모든 외상이 같은 경과를 보이지는 않기에
정확한 진단과 개별적인 치료 계획이
필요함을 말씀드립니다.
을지로치과 의사 김반석이었습니다.
긴 글 읽어주셔서 감사합니다.
*치료 사진은 모두 본원에서 치료한 환자분의 사진입니다.
*치료 사진은 모두 동일인의 사진이며, 동일조건에서 촬영하였습니다.
*개인의 차이에 따라 시술 및 수술 후 부작용이 발생할 수 있으며, 의료진과 충분한 상담을 받으시기 바랍니다.

