광화문치과 계단에서 넘어져 치아가 부러졌다면? 당황하지 말고 이것부터 하세요!
안녕하세요,
광화문치과 반석반석 김반석 원장입니다.
갑작스러운 사고로 치아가 부러졌을 때
여러분들은 어떻게 하시나요?
당황해서 아무것도 못 하시나요?
아니면
적절한 응급처치를 아시나요?
오늘은 계단에서 넘어지거나 부딪혀서
치아가 부러졌을 때의 치료 과정을
2가지 치료 방법을 통해
자세히 알려드리겠습니다.
치아 외상은 응급처치와 치료 시점이
결과를 좌우하는 중요한 요소입니다.
먼저 치아 외상 시 나타날 수 있는
여러가지 손상에 대한
기본적인 개념부터 설명해 드리겠습니다.
이제부터 많이 접하는
자연치 외상의 종류와 응급처치에 대해
설명드리겠습니다.
광화문치과
치아 외상의 종류와 손상 범위

이것은 손상 부위와 정도에 따라
여러 유형으로 분류됩니다.
치조골 골절은
치아를 둘러싼 뼈가 부러진 상태로
치아가 심하게 흔들리게 됩니다.
치관치근 파절은
치아의 머리 부분과 뿌리까지
동시에 부러진 상태입니다.
이때 치수(신경)가 노출되면
즉시 신경치료가 필요해집니다.
치수 노출이 없는 파절은
신경까지 손상되지 않은 상태로
경과 관찰이 가능한 경우도 있습니다.
치아 외상은 한 번에 여러 유형이
동시에 발생할 수 있어
정확한 진단이 중요합니다.
응급처치의 중요성
치아 외상이 발생했을 때
첫 번째 단계는 출혈을 조절하는 겁니다.
흔들리는 치아는 가능한 한
원래 위치에 맞춰 놓고
즉시 내원해야 됩니다.
이가 완전히 빠진 경우에는
치근 표면을 손상시키지 않도록
조심스럽게 다뤄야 되는데요.
생리식염수나 우유에 보관한 후
최대한 빨리 내원을 하는 것이
치아 생존율을 높입니다.
알맞은 응급처치는
자연치 보존 가능성을
크게 향상시킬 수 있습니다.
광화문치과
당일 신경치료의 필요성
치수가 노출된 경우에는
감염 예방을 위해 당일 즉시
신경치료를 시행됩니다.
치근 파절이나 치주조직의
심한 파괴가 있을 때도
신경치료가 필요합니다.
치수의 생존 가능성이 위협받는 경우
통증 완화와 예후 향상을 위해
즉시 치료를 진행합니다.
반면 치수 노출이 없거나
생존력이 유지되는 경우에는
경과 관찰을 우선할 수 있습니다.
정확한 진단을 통해
적절한 치료 방침을 결정합니다.
이제부터 예시 사진을 보면서
진료 과정을 소개해 드리도록 하겠습니다.
광화문치과
진료 과정

2025.02.12
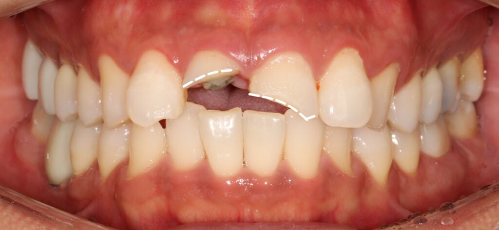
예시 사진을 보면
앞니의 2/3이상이 부러져 사라진 것을
확인할 수 있는데요.

2025.02.12
그로 인해 11번의 경우
자연치 내부 치수가 드러난 것을
볼 수 있으며,
21번은
치수가 드러나지 않았지만
많은 양의 치질이 사라져 있습니다.

2025.02.12

2025.02.12
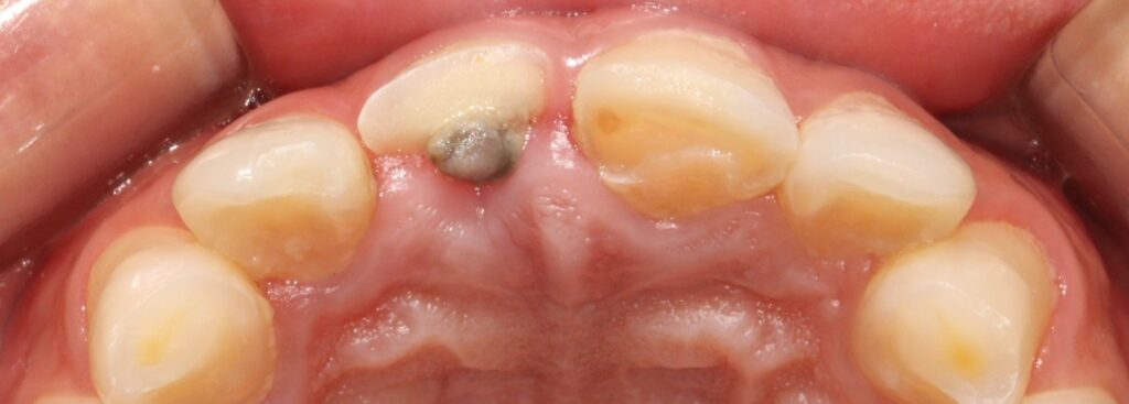
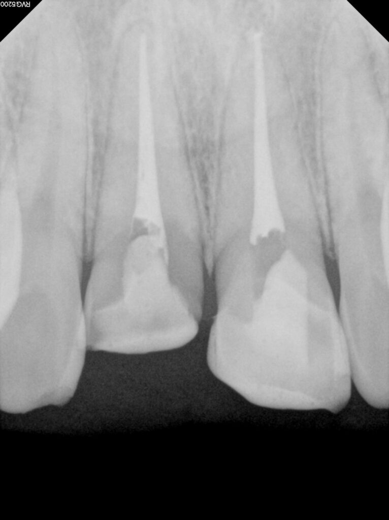
치아 외상으로 인해
크게 이가 부러졌다면,
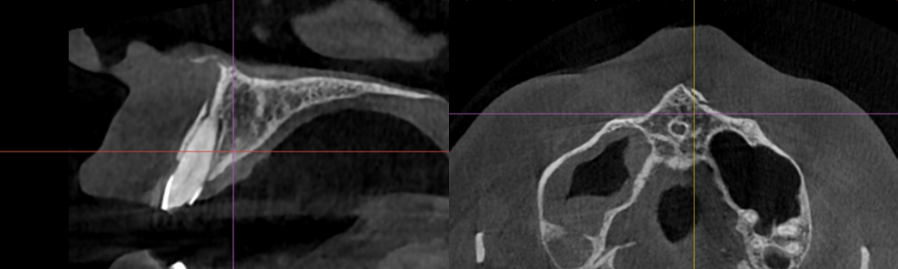
방사선 촬영을 통해
이를 잡아주는 치조골에는
문제가 없는지 확인을 해야 되는데요.

2025.02.12
촬영본을 확인해 보았을 때
협측 치조골의 골절이 있는 것으로 보아
이가 흔들릴 것으로 판단되며,
치아 고정술이 필요해 보입니다.
광화문치과
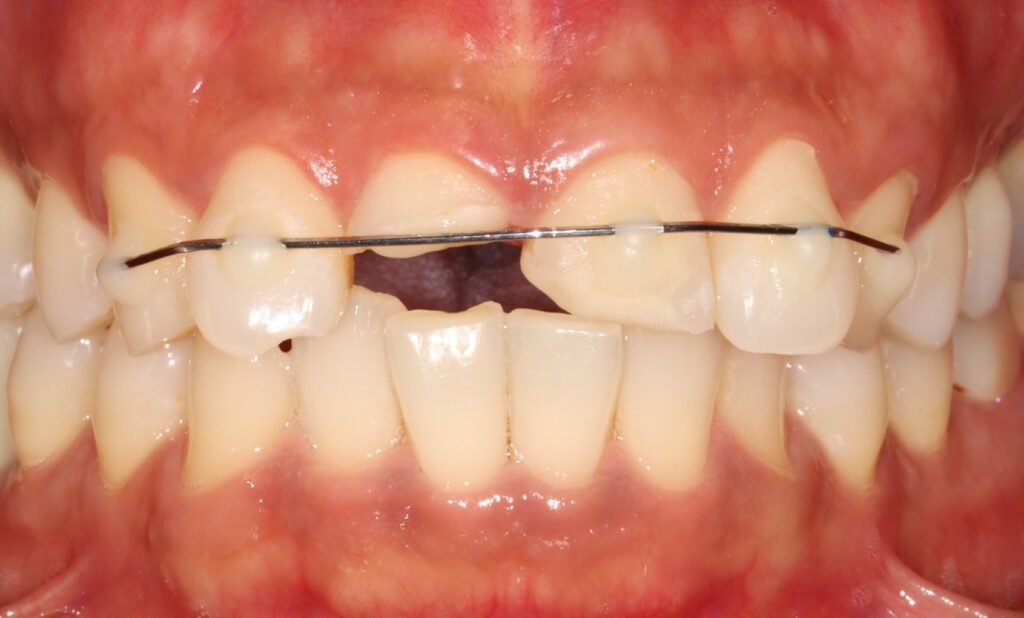
치아 고정술이란?

2025.02.12
이것은 흔들리거나
부분 탈구된 치아를 안정화시켜
치유를 돕는 치료입니다.
골절과 같이 심한 경우에는
4주 정도의 단단한 고정이 필요합니다.
단순한 치아 흔들림의 경우
2주에서 4주 정도 유지합니다.
철사와 레진을 사용한 고정이
가장 일반적으로 사용되며
치유 후에는 제거해야 됩니다.
고정 기간 동안 부러진 뼈와
치주조직이 안정적으로
치유될 수 있도록 도와줍니다.
고정 중에는 부드러운 음식 섭취와
철저한 구강 위생 관리가 필요한데요.
이와 동시에 같이 해야 되는 것이 있습니다.

2025.02.12
바로 신경치료 인데요.
당일에 바로 진료를 진행하여
통증과 감염 가능성을 줄이는 것이
중요합니다.

2025.02.12
이후 부러진 뼈가 치유될 수 있게
잠간고정술로 고정하여
치유를 도와줍니다.

치유를 되는 동안
임시치아를 제작하여
생활에 불편함이 없도록
도와줍니다.

치은 연하로 치근까지 파절되어
페룰 확보가 안되기에
교정적 정출을 시켜
자연치를 보존하는 것이 좋아보입니다.
교정적 정출이 필요한 경우
치근 파절이나 잇몸 아래까지
파절된 경우에 시행하는 치료입니다.
건강한 치질을 확보하기 위해
이를 위로 이동시키는 방법입니다.
파절 부위가 잇몸 위로 노출되게 하여
보존적 수복을 가능하게 만듭니다.
치관-치근 비율이 양호하고
치주 상태가 좋을 때 적용됩니다.
치아 보존 의지가 있는 경우
우선적으로 고려되는 치료법입니다.
교정적 정출은 보통 2개월 정도
시간이 소요됩니다.
정출 과정에서 치주조직도
부분적으로 함께 이동됩니다.
광화문치과
연조직 관리와 추가 치료
치아 외상 후에는 잇몸과
치주인대 손상이 동반될 수 있습니다.
항염증제 처방과 연조직 치유를 위한
특별 관리가 필요합니다.
염증과 괴사 방지를 위해
잇몸 소독과 전문 클리닝을
병행해야 됩니다.
교정적 정출 과정에서도
잇몸의 이동과 변형이 일어납니다.
정기 검사와 치주 건강 유지가
필수적입니다.
필요시 잇몸성형술이나
치관연장술 등이 추가될 수 있습니다.
이 글을 읽는 분들께
전하는 메시지
치아 외상이 발생했다면
당황하지 말고 즉시 응급처치를 받는 것을
권해 드립니다.
출혈 조절과 치아 위치 복원 후
최대한 빨리 내원하는 것이
치아 생존율을 높입니다.
적절한 고정술과 신경치료를 통해
자연치를 보존할 수 있습니다.
교정적 정출 같은 고급 치료법으로
발치 위험에 있던 치아도
살릴 수 있습니다.
소중한 자연치를 오래 보존하기 위해
전문의와 충분한 상담을 통해
최적의 치료 계획을 세우시기 바랍니다.
광화문치과 의사
반석반석 김반석이었습니다.
긴 글 읽어주셔서 감사합니다.
*모든 증례 사진은 의료법 제23조, 제 56조에 의거하여 환자분의 동의 하에 업로드가 진행되었습니다.
*치료 사진은 모두 본원에서 치료한 환자분의 사진입니다.
*치료 사진은 모두 동일인의 사진이며, 동일조건에서 촬영하였습니다.
*개인의 차이에 따라 시술 및 수술 후 부작용이 발생할 수 있으며, 의료진과 충분한 상담을 받으시기 바랍니다.


